Как вылечить зубки?
Добрый день Алина Владимировна!
Около месяца назад у сына 2,7 появилась дырочка. Неделю назад ходили в детскую стоматологию, там сказали что передние не сверлят, идите домой и если будет расти то прийти и серебрить. На всякий случай отправили в платный кабинет узнать может фторирование поможет. В платном сказали что фторирование сделают, а между передними зубами нужно пройти бором т.к. они как бы заходят один на другой и там может застревать пища. В другие клиники еще не обращалась. Очень рада что увидела ваши консультации и вчера до полу ночи изучала ваш форум.
Купили гель реминирализирующий Рокс, и чистка зубов два раза в день. Нужно ли еще дополнительно использовать Тус мус? т.е. они разные по действию или это из одного ряда и пока Рокса достаточно?
Скажите пожалуйста что можно/нужно делать с нашим вторым правым зубом? Серебрение я совсем не хочу применять, может что то другое типа Айкона?
И сегодня когда фотографировала увидела что на втором левом тоже начинает появляться белое пятнышко такое же как на левом. Что делать с ним?
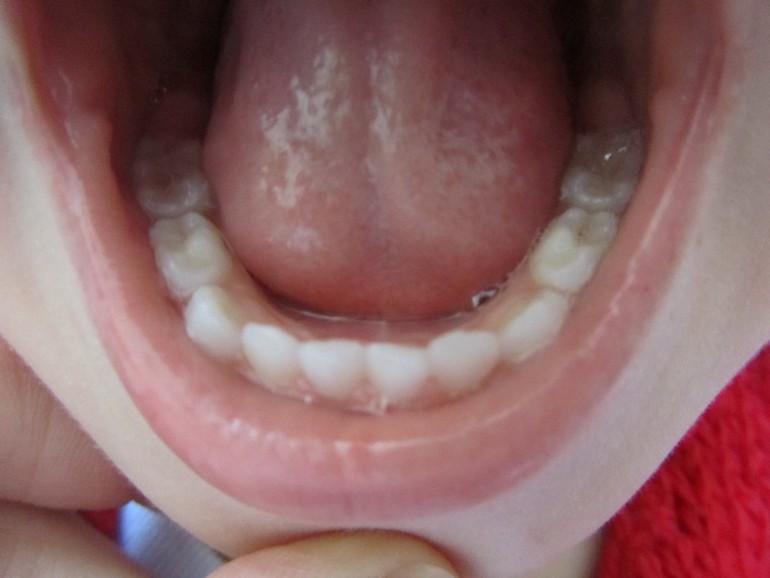
И еще, на жевательном нижнем левом зубе (честно, не знаю как он называется) мне кажется или там маленькая коричневая точечка это тоже кариес? Может нужно полечить пока он совсем маленький?
Что значит пройти бором между зубов? это будет такая вертикальная дырка/полоса что-ли после этого?
Вроде на мой неопытный взгляд остальные зубки в норме?





Буду благодарна за советы. Спасибо.
Найдите хорошего стоматолога. Домашнее лечение Вам не поможет.