Налет на зубах
Добрый день, Алина!
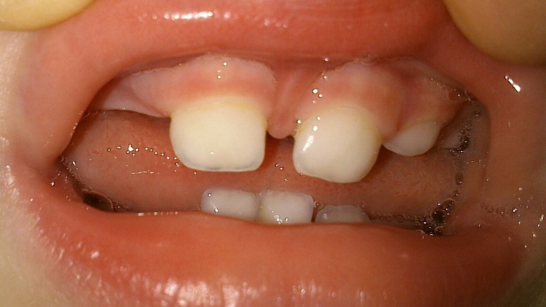
Нужна Ваша помощь. Дочке 1год и 8 мес. У не на данный момент 6 зубов (снижу двойка справа только прорезалась). Первые резцы вылезли в 8 мес, верхние в год и два. Зубки чистили только селиконовыми щетками (сейчас уже прочитала, что смысла от них никакого).
Уже несколько недель наблюдаю налет. Щеткой не счищается (щетка аквафреш) Использую пасту Baby Line.


Анастасия
Спасибо, Алина! Вы меня успокоили. Я пожалуй сменю пасту и буду чаще чистить ей зубки (грешна, иногда пропускаю).А вот на счет уздечки, раньше и не подозревала. поняла недавно, что она короткая, прочитала, что нужно будет подрезать, но позже(((
19.11.2013
Ответить
Алина Русикова
Здравствуйте.Это действительно налет. Счистить в домашних условиях его будет ооочень сложно, поэтому стоит обратиться к стоматологу, если Вас это сильно тревожит ( вот лично я, говорю шепотом))), не вижу в этом смысла))) Отличные зубки)Вот только уздечка верхней губы ооочень короткая(
19.11.2013
Ответить