Необходимость в таблетках натрия фторид для детей в Санкт-Петербурге?
Здравствуйте. Ребенку 2,5 года, живем в Санк-петербурге, пьем бутилированную детскую воду, состояние зубов пока хорошее ( постучу по дереву, наследственность ужасная)
Стоматолог (первый и единственный прием был) назначил для профилактики таблетки для рассасывания натрий фторид вместо воды, как я поняла или или. Но, лучше таблетки, потому что состав воды не проверить, а время может быть упущено, т.к польза от фтора наступает при длительном приеме с 2 до 14 лет каждый день.
Не знаю, что и делать? Как бы для нашей местности фтор показан, но и переборщить не хотелось бы, т.к последствия... Плюс записаны на фторлак. Получается как "зафторирую" ребенка. Как поступить с таблетками фтора, водой, фторлаком?
Буду благодарна любому ответу.
rita
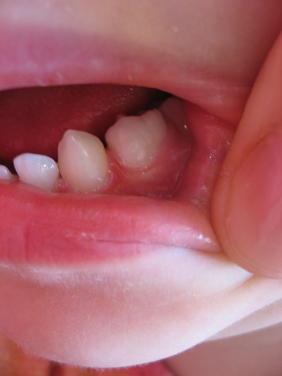
Здравствуйте. Напомню, нам 2,5 года, стоматолог отметил состояние зубов, как здоровое, записаны на фторлак.Перед очередным приемом я решила посветить доче фанариком в ротик. И начитавшись здесь массу полезных статей, спасибо Алине, нашла следующее, фото приложила. Дочка у меня терпеливая и ей тоже огромное спасибо! На тройке на контакте с четверкой, я так понимаю кариес в стадии пятна или средний, плюс на четверке со стороны щеки пятно, эмаль гладкая, но наверное тоже кариес пятна.Подскажите, права ли я и 

какие должны быть мои действия? Фото с разным освещением.


какие должны быть мои действия? Фото с разным освещением.
07.03.2014
Ответить
Алина Русикова
И я вижу изменения на клыке. Но сказать точно, что это кариес, не могу. Это необходимо оценивать очно.И про применение таб фторида натрия я так же однозначно ответить не смогу,т.к. я не нашла информацию о составе воды в Петербурге ( но и для разных районов города также разный состав воды(((), а просто так назначать,для галочки... Можно и навредить.
08.03.2014
Ответить
