Какие зубы лечить?
Здравствуйте у меня есть панорамный снимок, хотелось бы узнать какие зубы стоит перелечить, может быть где-то есть кариес под пломбой по снимку? Потому что стоматолог мне без снимка сказал, что все нормально. 
Алина Русикова
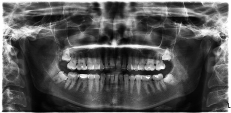
Оценить состояние контактных поверхностей на 6-7 зубах верхней и нижней челюсти справа. Возможно, наличие кариеса.
Оценить состояние контактных поверхностей на 6-7 зубах верхней и нижней челюсти справа. Возможно, наличие кариеса.
28.10.2017
Ответить
Алина Русикова
Здравствуйте.
Панорамный рентгеновский снимок дает дополнительную информацию к тому, что врач видит во рту.
На данный момент, я рассказываю Вам ситуацию по панорамному снимку, что не является 100% заключением, кроме того, что 8ые зубы подлежат удалению. Вот это точно.
28.10.2017
Ответить