Мальчик или девочка?

Лучший ответ

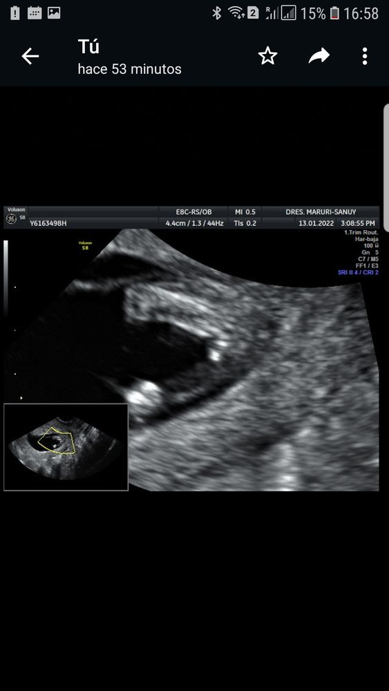
На таком сроке смотрят по половому бугорку с другого ракурса, когда ребёнок в профиль. А такие фото неинформативны на столь ранних сроках.
13.01.2022
Алиса, надо же. А врач как раз по этим фото и объяснял. Наверное, я что-то неправильно поняла 🤷‍♀️
13.01.2022
Natalia , мне и бугорок показывали и со стороны попы, похоже на половые губы, девочка, думаю на 2 скрининге подтвердят)
13.01.2022
Maria , 😊🤞🤞 спокойной Вам беременности
14.01.2022
Natalia , спасибо)
14.01.2022
Мне в 16 недель сказали девочка, а с 21 был уверенный мальчик :) так что слишком рано ещё :)
13.01.2022
Marina , Обалдеть, я думала в 16 то нелель уже не должны так ошибаться 🤦‍♀️ поздравляю с мальчиком 😍😊
13.01.2022
Natalia , спасибо :) Ну это не 3д Узи. Тут можно ошибиться :) У знакомых до самых родов говорили мальчик, а родила девочка так что могут быть сюрпризы:) Могу сказать одно, мечтаете о девочке, но если родиться мальчик - вы его также будете безгранично любить :))
13.01.2022
Marina , не сомневаюсь👍😊
13.01.2022
Похоже что точно девочка,т.к. на этом сроке у мальчиков уже пипка торчит🤭☺а тут нету))
14.01.2022
Екатерина, подождем еще немного)) Вам благополучной беременности 🌻🙏
14.01.2022
Natalia , спасибо☺и вам🙏
14.01.2022
Если честно, то я вообще сперва подумала, что на фото эмбриончик. И ещё подумала, как это могли предположить девочку☺а вообще, у меня во все беременности говорили кто будет, на сроке 13 недель (безошибочно)
13.01.2022
Zaya, уже немного осталось до 13 недель😊 благополучной Вам беременности 🙏🌻
13.01.2022
Natalia , спасибо, Вам тоже 💐
13.01.2022
Девочка)
13.01.2022
КофеМан, ❤😍
13.01.2022
Вижу девчонку , у самой так было на узи с дочей ) так что не прогадал ни врач ни я )
13.01.2022
Яночка, ууййй🤗🤗🤗🤗😍😍
13.01.2022
Natalia , по половому бугорку смотрели?сказали что-то про это? Мне потому что и по нему сказали девочка и вот так когда на попке сидела Изображение Вот наше узи
13.01.2022
Яночка, сказал, что мужских признаков он не видит и поэтому может предположить, что девочка. Это я так очень по-дилетански перевожу, но я так поняла. Я просто всегда так нервничаю на узи, что совершенно перестаю понимать испанский 🤷‍♀️🤷‍♀️🤦‍♀️
13.01.2022
Яночка, а срок здесь какой у Вас?
13.01.2022
Natalia , тут 12+5
13.01.2022
хоть бы девочка😁😁😁
13.01.2022
Mariya, 😁😁🤞😘
13.01.2022
Natalia , я тебя с дочкой представляю😊😊😊
13.01.2022
Mariya, решено, значит девочка 😝😝
13.01.2022
Как сменить ЖК? 20 дпп и угроза выкидыша