23 дпп Узи
Я БЕРЕМЕННА !Вот и настал долгожданный 23 дпп Еле как дождалась Это были самые длинные 3 недели в моей жизни Сегодня прошла УЗИ И теперь я официально БЕРЕМЕННААААА
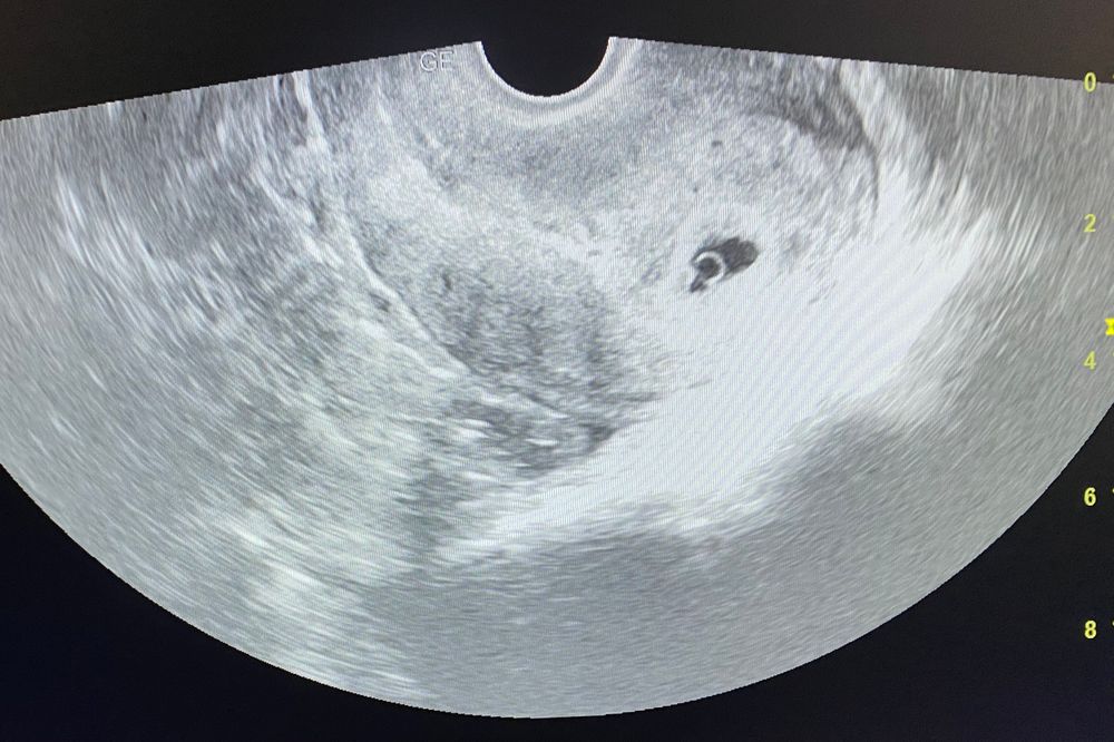
ПЯ - есть, ЖМ - есть, эмбрион - есть, КТР - 2.9, СБ +
по КТР срок 4-5 нед
Есть и НО
повышенный тонус матки, выраженный эндометриоз (сказали что он прям ужасный)
После переноса уехала к себе Тут у нас врачи ничего не смыслят в поддержке после ЭКО Ре не отвечает В поддержке
Эстрожель по 2наж/2р
Крайнон перед сном
Курантил 25 по 1т/2р
Лучший ответ
Наташа
Поздравляю 🙏
14.11.2022
Ответить
Мама ангелочка и дочек
Поздравляю! От тонуса можно свечи с папаверином ректально. По остальному не подскажу...
14.11.2022
Ответить
Награда
маТРЁХа, спасибо Вставила папаверин Выпила ношпу Лежу пластом теперь Надеюсь ре ответит
14.11.2022
Ответить