Эмбрион на 19 дпп (

Лучший ответ

К сожалению, похоже на пузырный занос. Вам бы еще где-то узи сделать. Если это подтвердится, то тут лучше не затягивать....
17.01.2023
Извините, но это не очень хороший знак(
17.01.2023
kna1992, я это понимаю
17.01.2023
А у вас есть фото узи? хгч явно слабый (
17.01.2023
Alena, есть , сделала утром
17.01.2023
Helga, я спросила не для того чтобы вы ответили есть или нет, а чтобы скинули его в пост. У кого был пузырный занос с большей вероятностью знает как он выглядит на начальной стадии. Иначе не понятно к чему пост, что можно подсказать не видя.
17.01.2023
Helga, похоже на занос
17.01.2023
Alena, показывала гинекологу, сказала, что похоже на гематомы. А лучше сделать узи на аппарате получше
17.01.2023
Helga, качество да, прям отвратительное, я уже давно не видела такой картинки, как-будто древний аппарат. Лучше переделать
17.01.2023
У меня так было в том году, после плохого роста ХГЧ на УЗИ увидели деформированное ПЯ и пузырёк рядом, решили подождать мож раздвоился, оказалось нет , через неделю их было 5 и Ре предположила пузырный занос и сказала срочно вакуум 🥺 ( фото прилагаю)в итоге не подтвердили пузырный, генетически не правильно развивался к сожалению. Надеюсь у Вас не так🙏 Изображение
17.01.2023
Lorry, спасибо. Не знаю.
17.01.2023
Lorry, у меня был частичный пузырный занос хгч рос хорошо, немного даже завышал.
17.01.2023
Екатерина , такое ощущение, что узист видел первый раз такое.
17.01.2023
Helga, нужно переделать ещё через пару дней Узи и желательно у другого доктора на хорошем аппарате и ещё сдать хгч в динамике посмотреть дождаться что скажет ваш доктор , даст Бог, пусть все обойдётся у вас 🙏
17.01.2023
Lorry, дополню у меня первая Гистология не подтвердилась «частичный пузырный занос» но врач сказала пересдать в другой Лаборотории и сказала где именно, так как два глаза говорит хорошо, а четыре лучше! и в другой лаборатории онкологии,где есть у них специалист по трофобластической болезни был лаборант, там и подтвердили мне частичный пузырные занос ((( а где оперировали я звонила специально выяснить почему же там, мне дали неверный диагноз , и узнала что у них есть общий лаборант только , а именно по пузырным заносам такого лаборанта у них нет ( по этому вот , так к сожалению. Пусть у вас будет все хорошо Дай Бог 🙏
17.01.2023
Екатерина , может глупый вопрос! А пузырный занос, это опасно?
17.01.2023
Helga, это не глупый вопрос, а правильный ! Сразу пишу вам чтоб хотя бы немного успокоить , это излечимо и легко подаётся лечению 🙏 Из 1000 женщин ,только одна попадает в такую ситуацию ! Смотря какой «полный пузырный» , это уже не есть хорошо и женщинам назначают даже химию терапию и то ,все индивидуально! даже при таком диагнозе, женщина потом беременеет и рожает деток! Единственное, это время при первом варианте 5 лет нельзя беременеть! Контроль и учёт у онколога гинеколога, Хгч каждые 10 дней ,пока не упадёт после чистки , Узи брюшной полости контроль. В моем случае был «частичный пузырным занос» побегать пришлось по неприятным местам, контроль тоже хгч , Узи , учёт у онколога , беременность нельзя 1-1,5 ! Повторения у одной и той же женщины очень редки !
17.01.2023
Екатерина , Внематочная при эко была, теперь не хватало еще пузырного заноса. А от чего он бывает? Читала, что даже от низкого эстрогена.
17.01.2023
Helga, Изображение
17.01.2023
Екатерина , это что я нашла в интернете и что говорят врачи 🤦‍♀️ Но у вас ведь было эко ? Как тогда это возможно 🤷‍♀️
17.01.2023
Хгч слабое конечно, деформация плодного яйца само по себе ничего не значит, у меня тоже было неправильной формы все закончилось рождением дочери, но вот хгч настораживает, сейчас главное себя постараться взять в руки, хоть это и сложно и дождаться динамики, положительной, либо отрицательной, тут уже не повлиять на исход, но я вам искренне желаю, чтобы он был благополучным!!!
17.01.2023
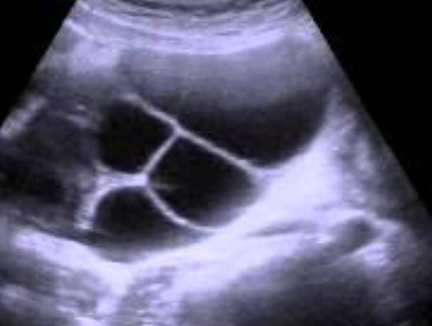
ХГЧ в поддержке не было? Рост конечно слабый... Из пузырьков состоит пя? Что сказал узист ? Пузырьки могут образовываться при пузырном заносе,но там ХГЧ наоборот растет разы выше норм
17.01.2023
Маргарита, хгч в поддерки не было. Узист сама не поняла. Структура из нескольких пузырьков.
17.01.2023
А врач узи чего по поводу пузырьков сказал?
17.01.2023
Виктория Таро, сама не поняла, что это
17.01.2023
Отмена эстрогенов при отслойке Отслойка, кровотечение