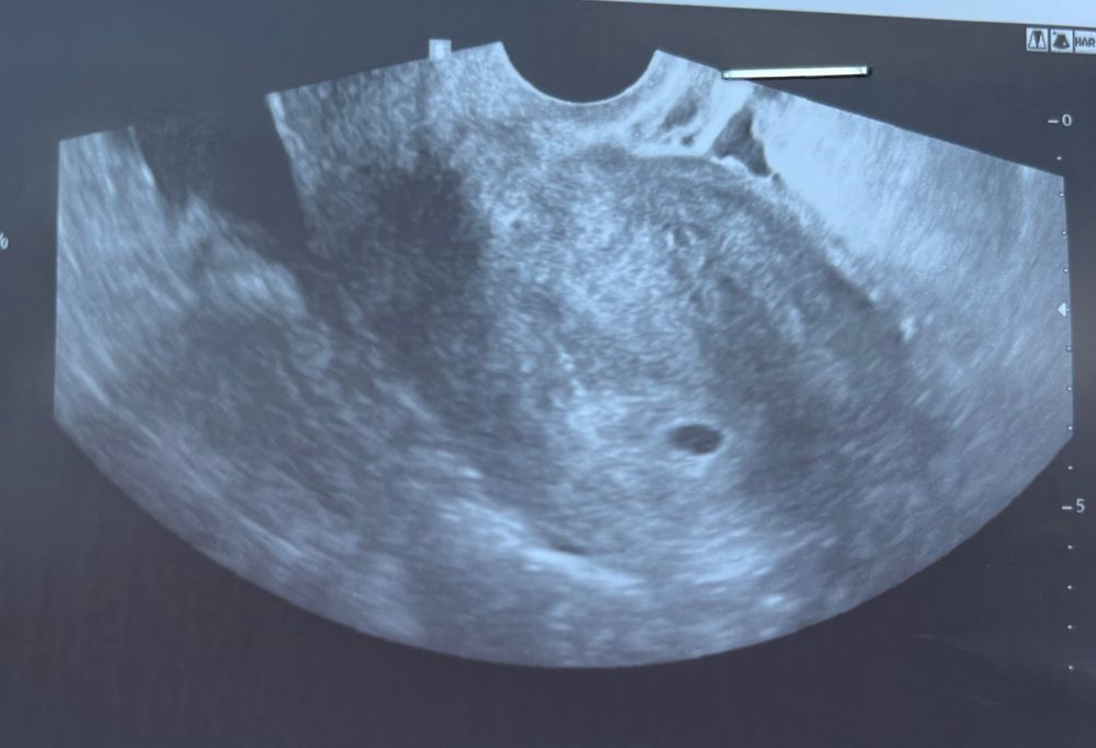
УЗИ на 20 дпп

Лучший ответ

Хочется сказать одно,меньше стресса ,понимаю ,что это нереально ,но надо потерпеть 🙏🏻у меня тоже был невысокий хгч ,и мазня коричневая была ,все тьфу тьфу +- норм складывается . Поэтому удачи и хорошего продолжения 🫶🏻🫶🏻🫶🏻
23.06.2024
Да это отличное пя😁у меня при хгч 7 тыс такое было!
23.06.2024
Катюша Попова, ждем эмбриончик🙏
23.06.2024
У меня на 23 дпп был 8.5 мм ПЯ но у него меня отстовало. У вас отличный! 🙏
23.06.2024
Мари Радуга, ждем эмбриончик🙏
23.06.2024
На 18дпп пя было 5 мм, хгч был 1100 на 15 дпп. У вас все хорошо, мне кажется по фото как раз все формируется, ждите дней 10, все появится👍
23.06.2024
Ирина, спасибо,буду ждать конечно и верить что все хорошо🙏
23.06.2024
В пя может не жм,а эмбриончик
23.06.2024
Елена, все может,но ест что то это точно
23.06.2024
Отличное пя,мне на первом жм не увидели тоже,недельку и на повтор,слава Богу!
23.06.2024
Елена, буду ждать и верить,легкой и благополучной вам беременности🙏🫶
23.06.2024
Анастасия, и Вам! Всё будет отлично!
23.06.2024
Отличный размер ПЯ, намеки на ЖМ есть.
23.06.2024
Yulia, значит я все правильно увидела)
23.06.2024
Вы беременны!!! Поздравляю вас ☀️☀️☀️🙏🏻🤗
23.06.2024
Best mammy , спасибо🙏
23.06.2024
ПЯ отличный для вашего хгч! У меня на 17 дпп было 5300, на узи была на 21 дпп и ПЯ было 12 мм, и был жм. На 21 дпп уже у вас был бы жм 100%
23.06.2024
Best mammy , вот и я подумала что для такого ХГЧ норм размеры)
23.06.2024
Оставшиеся комментарии доступны после регистрации
Зарегистрируйтесь и получите полный доступ ко всем функциям сайта.
Ктр и сб+ при эко Узи на 35 дпп, 7.4 недели