15 ДПП. УЗИ.
Результаты УЗИЧестно говоря, шла на УЗИ как на каторгу: появились какие-то единичные...даже не знаю, как назвать: мелкие ошмётки, что ли. Только на бумаге. На фоне болезни меня это, откровенно говоря, напрягает.
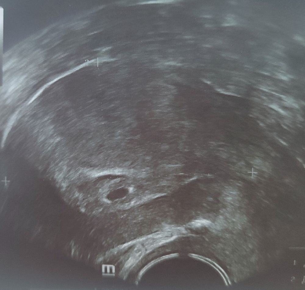
Промежуточные итоги: плодное яйцо в матке, СВД 6 мм. Больше пока ничего, но это и понятно. Гематома над плодным яйцом 8 на 3... Врач сказала не паниковать, но, понятно, всяческий покой. По моей просьбе (точнее, после вопросов) добавили масляный прогестерон. 6 числа всё-таки, если все будет хорошо, сгоняю ещё раз к своему врачу посмотреть и на эту гематому, и, быть может, уже на сердечко.
Жёлтое тело уменьшилось, всего 15 мм.
Наше второе фото). Первое было сразу после переноса.
Верю в чудеса
Всё таки добавили масло Вам. Да я тоже вижу хороший ЖМ и искренне за Вас радуюсь и держу ✊✊✊за благополучное развитие этой беременности!!!
29.09.2024
Ответить
Екатерина
Верю в чудеса, не хотели, говорили, что доза максимальная и так. Потом как-то вернулись к теме, что собственное жт чёт не особо работает, я спросила про уколы, хотели пролютекс назначить. Но у меня дома новая упаковка масляного, спросила про него. В результате убрали 1 Дюфастон и добавили масло через день.
Спасибо большое! Очень надеюсь.
29.09.2024
Ответить
Верю в чудеса
Екатерина, я за масло, мне кажется что оно самое эффективное в данном деле. Рассосётся сейчас гематома. Побольше отдыха.
29.09.2024
Ответить
Екатерина
Верю в чудеса, я сейчас смотрела лекцию гинекологических узистов, так вот они полоску анэхогенную, образующую симптом второго кольца, вообще называют отличительным признаком этого срока беременности, а не гематомой или чем-то таким. У меня выделений нет (вчера было прям меньше миллиметра), думаю: может, это не гематома вовсе? Смущает, что так далеко от плодного яйца на картинке как будто.
В любом случае масло поколю до следующего приема врача, а там посмотрим.
29.09.2024
Ответить
Верю в чудеса
Екатерина, вполне возможно. Но прогик вам точно не навредит. Только лучше сделает.
Тут столько нюансов на ранних сроках, что оно и не знаешь, то ли это хорошо, то ли плохо.
Поэтому малыш растёт и это главное!!!
29.09.2024
Ответить
Екатерина
Юлия Мать Драконов, уж я высматривала. Так-то я даже в двух местах что-то такое вижу. Но я и в гематоме ЖМ вижу🤣🤣.
Но, откровенно, доктор очень быстро посмотрела, жм не искала, не стояло такой цели.
Ну, 6 числа узнаем, как там дела. Или не 6, если не выдержу 😅
29.09.2024
Ответить
Екатерина
Виктория , надеюсь)) очень волнительно. Сегодня ездила к лору по поводу своего насморка, в соседнем доме было cmd. Не удержалась, сдала его и прогестерон, хочу глянуть, насколько укол его (прогестерон) подращивает (не знаю, зачем)).
29.09.2024
Ответить
Юлия Мать Драконов
Вот кровила скорее всего она, гематома. У нас так же было. Перепугала знатно, однако одно потом радует, что она рассосалась и вышла,а с малышариком все в порядке.
У тебя красивенькое ПЯ, пусть растет и набирается сил, береги себя!
28.09.2024
Ответить
Екатерина
Юлия Мать Драконов, да, врач также сказала.
Да, радует, что в большинстве случаев такое заканчивается благополучно.
Хотя я уже, конечно, начиталась, что гематома, расположенная над плодным яйцом, имеет худший прогноз и тд. Ну и размер гематомы больше размера плодного яйца не радует.
28.09.2024
Ответить
Юлия Мать Драконов
Екатерина, ты главное давай себе каждый раз минутки отдыха, когда это возможно. Сейчас важен максимальный покой и душевное спокойствие. Все у вас будет хорошо! Почему -то я уверенна, что в июне 2025 ты будешь держать на руках замечательного карапуза! Близнеца по гороскопу))) совсем как Я🤗
Поверь, Близняшки - клёвый знак зодиака, они очень общительны, с чувством юмора, и просто замечательные друзья!
28.09.2024
Ответить