Дурная голова ногам покоя не даёт или 18 дпп

Лучший ответ

Если вас это успокоит, мое пя на 18дпп вообще коряжка какая то была и через 2 недели оно тоже круглым не было. Я бы вам конечно посоветовала сходить на узи минимум через дней 10, а лучше через 2 недели уже и сб послушаете. Включите немного фаталиста, вы уже никак не можете повлиять на эмбрион и узи каждые пару дней бессмысленны и только добавляют стресса. А эти деньги лучше потратьте на что-нибудь, что вас порадует😊 Изображение
02.10.2024
Ирина, плюсуюсь, я конечно снимок сейчас вряд ли найду, но у меня тоже не было прям круглого ПЯ. В итоге все отлично!
02.10.2024
Юлия Мать Драконов, спасибо))
02.10.2024
Ирина, красивоэ😅 В вскр уже надо сходить, потому что врач должна отмену поддержки расписать и закрыть протокол. А там да, наверное, нужно хотя бы дней 10 выдержать. В целом я по поводу формы и не дергалась, везде пишут, что капля ок, кроме как тут😅 стала смотреть про овоидную форму, а посты в основном негативные)). Меня больше ЖМ, которого непонятно как видно, напряг.
02.10.2024
Екатерина, на этом сроке только маточную беременность подтверждают, мне сказали что жм еще нет, но я вроде в уголке что-то разглядела. Рано вас конечно ре зовет.
02.10.2024
Ирина, ну у вас прям видно)) Ре вообще на 14 день настаивал, я пошла на 15. А теперь вот на 23. Не знаю, почему так. Но схожу уже)
02.10.2024
Екатерина, у вас по квоте? Может торопится закрыть побыстрее. Мне ре наоборот сказала не раньше 2 недель, платно делала
02.10.2024
Ирина, квота, да, но сейчас прием будет уже платный. Короче, не знаю)). Но на самом деле даже с непонятными результатами мне делать узи спокойнее, чем ждать. Иллюзия контроля продолжается)
02.10.2024
Екатерина, думаю все будет хорошо!
02.10.2024
Ирина, надеюсь) спасибо!
02.10.2024
У меня ни на одном узи не было круглого плодного яйца, как на картинках, всегда какое-то овальное или кривое )
01.10.2024
Ирина, спасибо)) успокаивает
02.10.2024
Я снова вижу ЖМ на том же месте) Скоро и лялечка появится)))
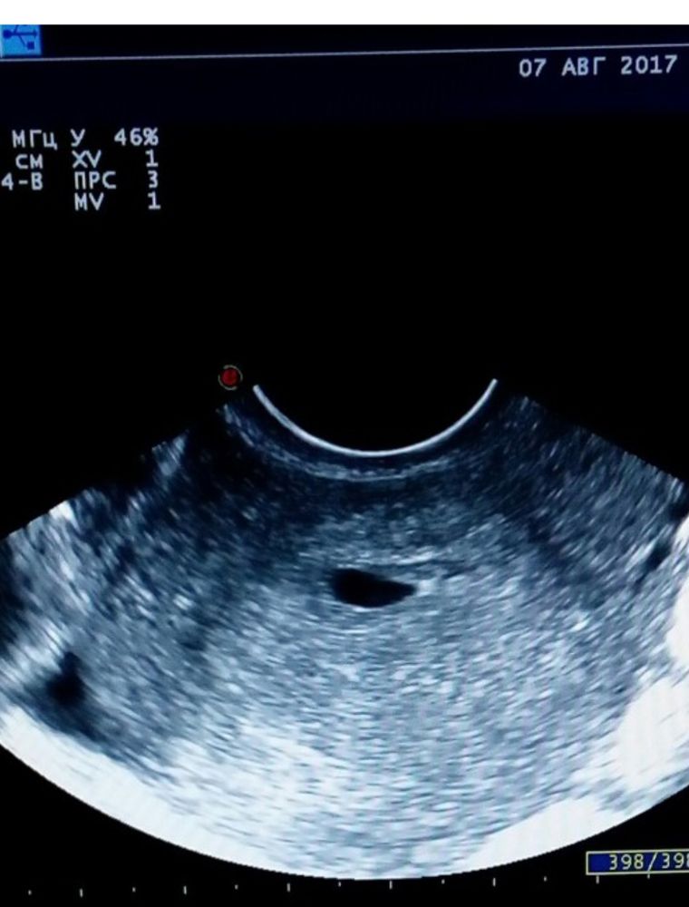
02.10.2024
Виктория , вот тут кажись получше видно. Вчера в принципе сказали, что лялечка уже начала появляться, но пока сложно дифференцируема. Жду воскресенья с трепетом 🫣 Изображение
02.10.2024
Изображение В первую беременность такое же яйцо было 🥚😃 не переживайте
02.10.2024
Юлия, о, спасибо))
02.10.2024
Моя первая дочь была такая, уже с детства чудила, ставили сильный тонус и угрозу, мне лично ничего не говорили, просто написали в заключении, в итоге никаких проблем не было Изображение А вот вторая, отличница)) Изображение
02.10.2024
Валентина, ай да крошки) Спасибо за наглядный пример!
02.10.2024
Валентина, у меня вообще как фасолинка была и даже тонус не поставили, вообще никаких проблем не было в первом триместре. Второе конечно идеально круглое👍
02.10.2024
Ирина, спасибо!;)
02.10.2024
Ирина, да, я сама удивилась после первой дочери, что такие бывают)
02.10.2024
Монохориальная двойня и неизвестность полная 25н: плановое УЗИ, ГТТ, растущий вес