Полип в цервикальном канале в беременность
Результаты УЗИДевочки, зайдите пожалуйста, у кого был.
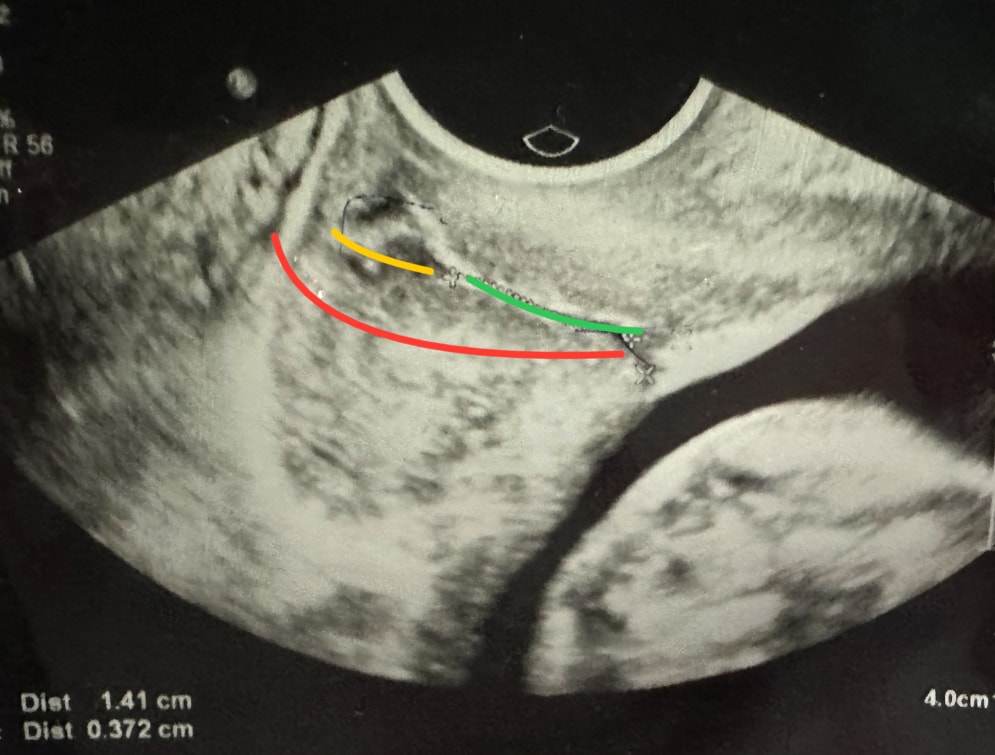
Вопрос следующий: при измерении шейки матки вам замеряли часть с полипом? У меня полип 5.4 мм и после него еще часть сомкнутой шейки (наружный зев). Врач замеряла только ту часть, где шейка сомкнута до полипа. Получается полип и дальше не замеряла. Правильно ли это?
Красным: вся шейка
Зеленым: сомкнутая часть до полипа
Желтым: полип (и после него еще кусочек сомкнутой части)
Julia
Дарья, ну вот она сказала что должна мерять сомкнутую только по правилам. Но у меня например весь первый триместр шейка была по всей длине открыта и замеряли всю. Не понятно…
22.03.2025
Ответить
Дашик
Julia, как по всей длине при беременности шейка может быть открыта? Может вы что-то путаете? При беременности все-таки важна оценка длины сомкнутой части.
23.03.2025
Ответить
Julia
Дашик, нет) на 3 мм по всей длине весь первый триместр. Такое тоже бывает. Я узи каждую неделя делала
23.03.2025
Ответить
Анастасия
Первая беременность прошла с полипом. Обнаружили на первично осмотре при постановке на учёт и отвалился вместе с родами. Никто ничего не замерял относительно полипа. Все будет хорошо. Не переживайте.
22.03.2025
Ответить
Julia
Анастасия, спасибо вам! Если замерить все вместе то у меня 33 мм выходит. А вчера замеряли только закрытую часть 14 мм и поставили ицн. И я думаю вообще корректно ли это
22.03.2025
Ответить
Анастасия
Julia, если есть возможность перепроверить данные у другого узиста, лучше сделать узи ещё раз. Возможно, ошибка. Не помню, чтобы у меня так мерили шейку с полипом...
22.03.2025
Ответить