Прогулка с ребенком в...

Да,вы правы,Сама имею проблемы с зубами,поэтому так щепитильно отношусь к зубам своих детей.У меня к вам вопрос-ношение пластинок в детском возрасте поможет избежать  ношение брекет-систем в более взрослом возрасте?или тут уж как "карты лягут" ведь смены зубов еще не прошла?
19.09.2013
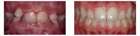
Здравствуйте.Лечение съемными аппаратами механического действия (пластинками) может быть очень эффективно в период смены зубов. Поможет расширить зубные ряды, скорректирует положение отдельных зубов, но пластинки работают в двухмерном направлении и чуда от них ждать не надо. Часто удается избежать ортодонтического лечения на брекет-системе в дальнейшем, но порой пластинка-это первый этап лечения. После нее коррееция на брекетах идет быстрее и не требует удаления постояных зубов для коррекции соотношения
19.09.2013
Здравствуйте.Спасибо за ответ.Значит как получится,в любом случаебудем идти к хорошему результату!:-)
19.09.2013
спасибо огромное за информацию.Сама ношу брекеты и переживать начала за сына.зубы вылезли оч редкие.
24.08.2013
сын у вас малыш еще совсем. Давайте твердую пищу, яблоки, чтобы нагрузка была и челюсти развивались. Хотя и генетический фактор может сыграть роль. Ближайшие года 3-4 не переживайте :)
24.08.2013
спасибо!он еще нижнюю губу любит сосать,по этому поводу тоже переживаю,что сыграет свою роль(((((((((
24.08.2013
сыграет... тогда, возможно, вам больше не пластинки подойдут, а трейнер
24.08.2013
а с какого возраста его нужно носить,если есть проблемы?
25.08.2013
есть размеры с 5 лет.. ну и лет до 15, пока  смена зубов идет, челюсти хорошо растут, отлично откликаются на проводимое лечение
27.08.2013
спасибо большое!буду знать!
09.09.2013
подскажите пожалуйста! сыну 5 лет.   молочные передние зубы плохие,но врач сказала ничего не делать,шатаются значит скоро выпадут...а тут сегодня замечаю такую картину...растет зуб...но почему сверху так далеко от зуба,на десне...?????ведь молочные они должны заменять,а этот где-то сам по себе...что делать,голова болит от всяких мыслей,сегодня воскресенье к стоматологу не попасть,может кто-то сталкивался с этим?подскажите,не пишите что надо к врачу,сама знаю,просто хочу услышать тех кто что-то про это слышал или сам сталкивался.заранее спасибо
12.01.2014
Зачатки зубов обычно располагаются более кнутри (небно или язычно), но бывают и исключения. Перед тем как идти к врачу, сделайте снимок ОПТГ (ортопантомограмма или просто панорамный его называют). Снимок поможет оценить наличие зачатков постоянных зубов и их расположение. Паниковать не надо, есть случаи, когда зубки сами со временем опускаются, ну а если нет, поможем ортодонтически. :)
14.01.2014
Может кто-нибудь сталкивался? Брекеты