Итог моего ношения брекетов
Взрослые зубные проблемыДевочки, все! Поздравляйте! Мне сняли брекеты!
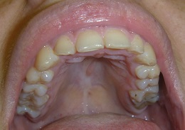
Сравним:
первый день
итог лечения


Носила год. Сняли раньше, чем планировали. Теперь буду год носить капы на ночь на обеих челюстях
Василисушка
Клаасс! Скажите, а как эти брекеты называются и насколько они прочные? У дочери проблема с прикусом, на обе надо ставить, а из стали они шибко страшные((
13.10.2014
Ответить
Анна
ДД Юля — можно и мне координаты и цену. Тоже хочу- ведь никогда не поздно...
08.09.2014
Ответить
Мария
Дд,извините,если поздно спрашиваю:-) напишите и мне цену и контакт мастера,спасибо
04.09.2014
Ответить
Бурундук
Очень круто! А на ночь это навсегда или на время? И потом профилактика нужна?
29.04.2014
Ответить
Ирина
Здорово!!!!! Очень заметен результат!!!А где делала? Я летом тоже хочу заняться
25.04.2014
Ответить