Это нормально?
Детские зубные проблемыЗдравствуйте.
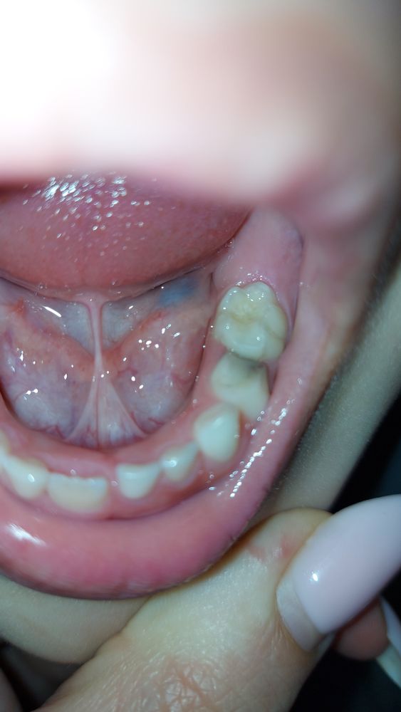
Ребенку 5 лет.
23.04.21(!!!!) Под наркозом лечили 1-й раз зубы.
Тоесть все пломбы что на фото. Это новые
Это вообще нормально что пломбы стали такими как на фото????
Одна потемнела - справа
А другие слева с коричневой полосой по краю.
Зубы после ЧИСТКИ

