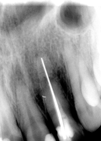
А что это у меня в канале находится?



это зуб передний у меня очень потемнел
Алина Русикова
Елена, здравствуйте.Этот зуб, наверное, уже давно лечили,т.к. это старая методика постановка серебряного штифта в канал зуба.Что можно сделать...К сожалению, полностью извлечь его не получится,т.к. резать в тонком канале в слепую-опасно. Можно продырявить корень и тогда зуб нужно будет удалять.Есть два варианта- попробовать внутриканальное отбеливание, которое заметно осветлит коронку зуба. Но дать гарантию, что это точно поможет- сложно,т.к. не понятно, как отреагирует штифт на такое вмешательство.Можно попробовать, а если не получится- просто выпилить часть штифта, поставить вкладку и коронку.
08.08.2011
Ответить
Елена
спасибо огромное за такой подробный ответ!!!!!А можно приклеить винир туда?
08.08.2011
Ответить
Алина Русикова
Больше похоже на проекцию гайморовой пазухи.Винир нельзя. Ненадежная конструкция в Вашем случае.
08.08.2011
Ответить
Елена
А расскажите пожалуйста уж очень интересно,а зачем раньше серебряный штифт в канал вставляли?Кстати,некоторые врачи пытались разпломбировать канал,но ничего у них нет выходило!! Кто-то из врачей мне сказал,что его цементом залили,поэтому и не разпломбировывается.А там оказывается иголка какая-то!!
08.08.2011
Ответить
Елена
а сколько пломбу увас стоит поставить? Да ещё врачи мне сказали это киста а не проекция!! Как узнать что это?
08.08.2011
Ответить
Алина Русикова
Смелое заключение со стороны докторов без нормального обследования.Чтобы сказать точно, нужно сделать компьютерную томограмму.
08.02.2012
Ответить
Елена
Почему это не получится??? У моего лечащего врача все прекрасно получилось! Ультразвуком. Запломбировали мне зуб основательно,отбелили и поставили красивую пломбу.Теперь я улыбаюсь во все 32 зуба!!!!Хотя многие врачи именно так и говорили,что надо коронку ставить.
08.02.2012
Ответить