Наши странные зубки (фото) ...Что делать?
Здравствуйте.
Ребенку 1 год 4 месяца.
Проблема № 1.
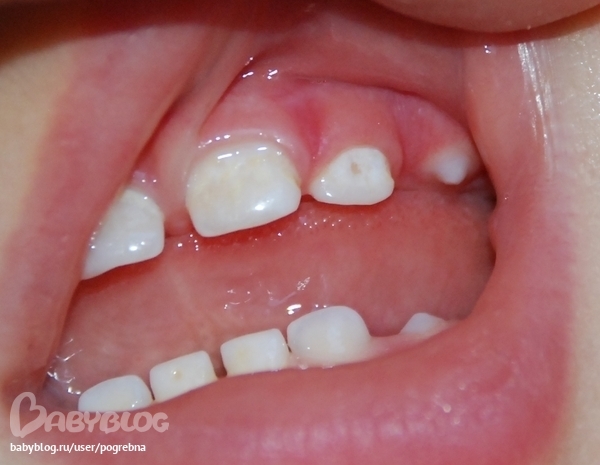
В 1 год и 1 месяц начали расти 4 клыка и 4 первых премоляра, практически все одновременно. Сейчас, когда нижние премоляры практически выросли, я обратила внимание на их форму. Зубки по размеру раза в 2 больше, чем все остальные, как будто 2 зуба срослось в один. К тому же на боковой части зуба есть еще какой-то отросток (когда зуб рос, этот отросток был в десне. Со временем стало понятно, что это часть зуба). Такая картина наблюдается на левом и на правом премоляре нижней челюсти. Еще на десне возле нижнего клыка, когда фотографировала, увидела белое пятнышко. Сфотографировала, как могла. Лучше не получается.
Проконсультируйте, пожалуйста, что это может быть и что с этим делать?




Проблема № 2.
На передних зубках что-то вроде налета, но зубной щеткой не отчищается. Хорошо видно на нижних зубках(возле десны).
Также проблема с боковыми резцами верхней челюсти. На одном как-бы скол, который со временем увеличивается, а на втором углубление по центру зуба. Дефекты со временем увеличиваются. На нижнем боковом резце точка (углубление), вроде не увеличивается.
На верхних передних резцах неравномерная окраска или налет. Не могу разобрать.
Взгляните, пожалуйста, что это? Неужели кариес? Может слабая эмаль?
Что необходимо предпринять?
Если потребуется лечение, может Вы знаете, где в Киеве найти хороших специалистов для нашего возраста?




Заранее благодарна за ответ.