Проблемы с эмалью
Добрый день, Алина Владимировна!
У меня облезает эмаль с передних верхних резцов (уже от десны на треть). Что делать? Заранее спасибо.
Алина Русикова
Здравствуйте.
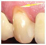
Могу предположить, то мы с Вами обсуждаем клиновидный дефект.
Что-то похожее на это?
В таком случае Вам необходима консультация ортопеда,т.к. данный дефект обусловлен или отсутствием каких-либо зубов, или патологией прикуса, или ночным скрежетанием зубами.... Это еще не все возмлжные причины.
В любом случае, изначально необходимо исключить причину, а далее восстанавливать дефект.
В таком случае Вам необходима консультация ортопеда,т.к. данный дефект обусловлен или отсутствием каких-либо зубов, или патологией прикуса, или ночным скрежетанием зубами.... Это еще не все возмлжные причины.
В любом случае, изначально необходимо исключить причину, а далее восстанавливать дефект.
27.03.2012
Ответить
Алина Русикова
Лично я по фото не вижу никакой сошедшей эмали. Может стоит провести профессиональную гигиену полости рта?
27.03.2012
Ответить
Надежда
Спасибо! И после чистки зубы сразу обрастут эмалью?!)))
А не могла пострадать эмаль после неправильного лечения одного соседнего зуба (попадание какого-либа препарата)?
28.03.2012
Ответить
Алина Русикова
Надежда, не обрастут, конечно.
Дефекта эмали (отсутствия ее) нет. Когда ее нет, это выглядит как на фото, которое я Вам выложила.
Возможно, после чистки они станут светлее,а правый резец центральный стоит рассмотреть более тщательно, возможно, в нем удаляди нерв, что и дает изменения в цвете.
29.03.2012
Ответить
Надежда
очень отдаленно, попробовала сфотографировать,но все равно плохо видно. желтые пятна - сошедшая эмаль.
про прикус возможно, про скрежет и отсутсвие - вряд ли.
27.03.2012
Ответить
