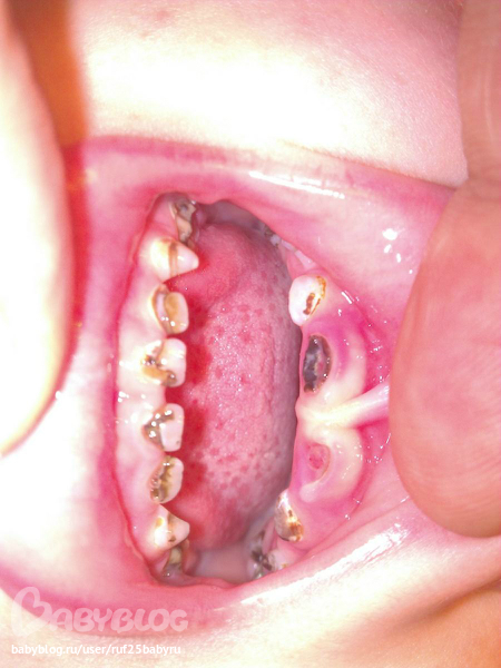
Все зубки поражены кариесом. Возможно ли спасти?
Здравствуйте Алина Владимировна. Подскажите возможно ли спасти наши зубки, или уже поздно. Нам 1 г.9 мес. Сразу после прорезывания зубки белеют, а затем стремительно разрушаются. Наши стоматологи говорят, что восстанавливать уже нечего. Хочу узнать ваше мнение.




руфа
еще забыла добавить, что мы их серебрим переодически, но увы
не помогает. Мы на ГВ. Сладкое не даем. Передний зубик, вернее то что от него осталось, выпал 2 недели назад, корень наверное остался. Что нам делать посоветуйте.
не помогает. Мы на ГВ. Сладкое не даем. Передний зубик, вернее то что от него осталось, выпал 2 недели назад, корень наверное остался. Что нам делать посоветуйте.
22.10.2012
Ответить
Алина Русикова
Руфа, здравствуйте.
Как же спасать уже нечего? Есть, конечно!
Вот только здесь лечение стоит проводить под общим наркозом,т.к. объем большой, да и ситуация тяжелая.
Времени потребуется в наркозе- не менее 3 часов, чтобы вылечить все зубы.
Про восстановление центральных резцов можно судить только после того, как сделаем рентгеновский снимок. Если нет воспаления в кости, то и центральные зубы можно попытаться спасти.
Как протекала Ваша беременность? Чем уже болел ребенок в своей жизни? Что принимали. когда лечили? Есть ли хронические заболевания?
Стоит очень серьезно подойти к обследованию ребенка,т.к. такие серьезные проблемы не приходят одни! Зубы, скорей всего, это сопутствующее заболевание...
По крайней мере те дети, у которых я такое видела, не были здоровы на 100 процентов.
25.10.2012
Ответить
руфа
здравствуйте Алина. спасибо за ответ. БЕРЕМЕННОСТЬ ПРОТЕКАЛА РОВНО, но орз БЫЛО один раз, где-то в середине беременности. Когда родились нам( ей и мне) кололи антибиотик 5 дней. Хронических заболеваний нет.
25.10.2012
Ответить
руфа
Алина Владимировна! Если мы решилсь, то когда ( в какой день и во сколько) мы можем расчитывать на лечение под наркозом, при условии что все необходимые анализы будут на руках и ребенок будет здоров. Хотелось бы в день приезда все сделать. И не могли бы назвать примерную стоимость лечения(включая наркоз) в нашем случае.
26.10.2012
Ответить
Алина Русикова
Записывать ая стоит через директора клиники " Маркушка"
Его контакты указаны в первом посте моего дневника.
29.10.2012
Ответить