Темный зуб(
Добрый вечер, Алина Владимировна!
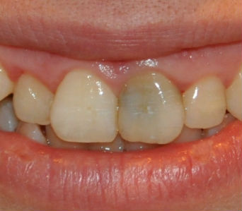
Проблема такая: 11 лет назад между передними зубами было что-то темное, в итоге удалили нерв, поставили пломбу на переднем зубе. Через какое-то время пошло воспаление в десну ( кажется, свищ), канал распломбировали, чистили, лечили физио, уже точно не помню, кажется тогда в первый раз не до конца канал заделали (я вообще в зубах не сильна, да еще и боюсь лечить очень). Вобщем, сделали все заново. Зуб стал темнеть. Пошла в другое место переделать. Сделали, немного стал светлее зуб, но сделать его как второй мне и не обещали.Когда делали повторно, сказали, что рассверливали его практически уже насквозь.
Вот сейчас обострилась проблема, т.к. он стал еще темнее(+еще есть неприятный запах из щелки между передними зубами.
У меня вопрос к вам: что можно сделать с ним, чтобы эстетически его привести в норму? и сколько это "удовольствие" будет примерно стоить?)