Кариес?
Алина Владимировна, добрый день!
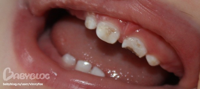
Малышу 1 год, начал крошится верхний зубик, с обратный стороны он полностью серого цыета. В поликлинике стоматологи говорят, что это плохая эмаль, лечить ничего не нужно. Но мне кажется, что такими темпами ребенок останется без зубов... Скажите пожалуйста что это у него и как это лечить.
Очень хотелось бы попаасть к Вам на прием


Алина Русикова
Эля, здравствуйте.
На левом центральном резце уже пульпит.
Другие зубы нужно тоже пломбировать.
Ещеесть короткая уздечка верхней губы.
23.03.2013
Ответить