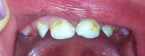
На нас напали кариозные монстры(((
Здравствуйте, Алина Владимировна! Моему сыну почти 1,5 года.Появился налет на зубах.Вчера были первый раз у стоматолога.Диагноз неутешительный -кариес.Итог - серебрение.Причем врач безаппеляционно сделала процедуру, не спросив согласна я на это или нет.Очень хотела бы попасть с сыном к вам на прием.Сегодня звонила в клинику, приятный мужской голос попросил написать здесь и выложить фотографию зубов ребенка.Чищу ему зубки регулярно, сейчас к пасте добавила очищающие салфетки.Буду очень благодарна за консультацию.Подскажите, как с вами связаться, чтобы записаться на прием?Очень хочу максимально долго сохранить сыну молочные зубки.
Вот ребенкины зубки(((