Плохие зубки (
Уважаемая Алина Владимировна, прошу проконсультировать.
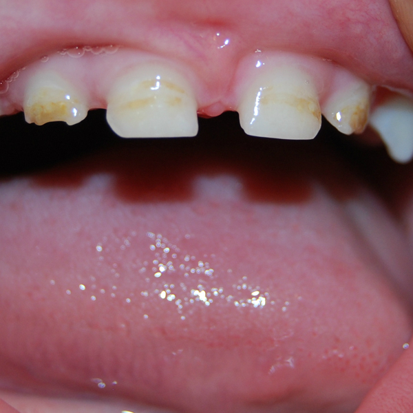
Дочке 2,4 годика. Зубки начали прорезываться очень рано, первые резцы в 3,5 месяца. Порядок прорезывания правильный. Сразу же прорезались не в очень хорошем виде, в желтом налете - передние верхние 4 резца и обе "четверки". На грудном вскармливании, из бутылочек не пили. С младенчества принимаем кальций D 3 никомед. Фото зубов прилагаю.
Впервые были у стоматолога прошлым летом, рекомендовал просто чистить. Чистили. Показалось, что зубки разрушаются..Неделю назад посетили другого стоматолога. Сказал, что кариеса нет пока, просто плохая эмаль. Продолжать мазать гелем "Тус Мус" (мы им пользуемся уже 3 месяца) и еще посоветовал самостоятельно мазать раз в неделю фторлаком.
Что вы скажете о состоянии зубов по фотографии? И что можно\нужно сделать, чтоб помочь ребенку сохранить зубки до смены.
Очень надеюсь и жду ответа (как, впрочем и все мамочки здесь)..


