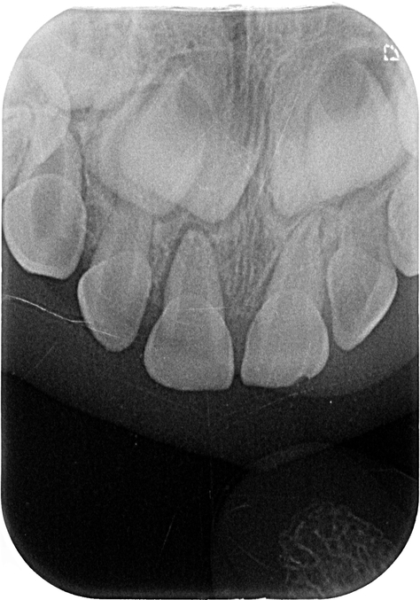
Травма передних зубов - шатается уже 2 недели

Здравствуйте. Изменение цвета- это не приговор. Часто бывает, что зуб возвращает исходный цвет) И я бы Вам предложила наблюдать. Уже сейчас можно сделать повторный рентгеновский снимок, да и месяц прошел. И сравнить ситуации.
12.06.2013
Добрый день! И снова мы))) Спасибо за ответ. Мы все же к вам записались на прием на следующей неделе. Можно ли почти трех летке будет нерв удалить в случае необходимости  с местной анестезией в тот же день?. Диана рот спокойно и охотно сейчас открывает для доктора, но ей и не лечили ничего еще ни разу. Или таких мелких только с наркозом? Если что я ее буду морально готовить. Просто после очной консультации приговор был все же удалить, но под мою ответственность разрешили еще понаблюдать, а потом через несколько дне пригласили на лечение - очень неохотно предложили лечение с оговоркой что результат не гарантируют. Вот  я и мечусь в округе по дестким стоматологиям. А вы видетесь мне таким замечательным специалистом, который просто так зубы не удаляет))) К вам хочу!
14.06.2013
Спасибо большое за доверие) Вот уж точно,у меня не выпросить удалить зуб, если его можно спасти) Ребенку можно будет удалить нерв, если это потребуется, в этот же визит. Так что стоит рассказывать о микробох, о возможности порисовать на зубике, помыть его водичкой... И получить подарок за это)
14.06.2013
откололся зубик Передний зубик темнее других