Проконсультируйте пожалуйста
Алина, добрый день!
Помогите, пожалуйста, советом.
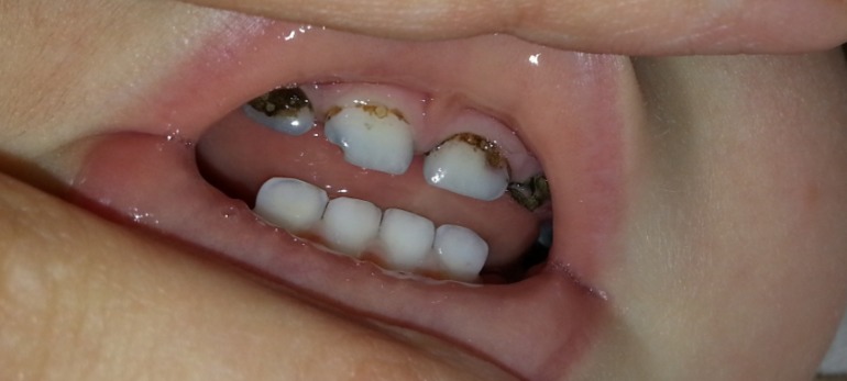
Сейчас дочке 1 год и 4 месяца. В годик она сколола второй левый резец, а потом отколола от него эмаль по центру и полностью с внутренней стороны. Мы сходили к платному стоматологу и нам сказали, что молочные зубы не лечат и они могут только посеребрить. Мы согласились. Так же нам посеребрили второй резец справа и на нем оказались 3 дырочки по центру, а так же все 4ре с внутренней стороны. Теперь кариес(это ведь он?) добрался до центральных зубов, плюс на правом скол. Несколько дней назад мы снова туда ходили, и нам тоже предложили только серебрение, сославшись на возраст. Мы снова согласились, но теперь мучают сомнения. Читая Ваш блог, я понимаю, что маленьким детям тоже лечат зубки. Отсюда вопросы:
1. Скажите в нашем случае нам срочно нужно лечить или можно подождать и понаблюдать. И если ждать, то чем это может закончится?
2. Резец на котором нет эмали и который посеребрили может беспокоить дочку? Болеть или доставлять дискомфорт?
3. Мы находимся на грудном вскармливании и сейчас режутся клыки, поэтому кроме груди сейчас практически никакую еду не хотим. Висим и днем и ночью. Влияет ли это на распространение кариеса? Мы с года чистим зубки Лакалютом, но он похоже не помогает. Можно ли как то обезопасить зубы в ночное время при кормлении.
4. Если лечить зубки, то сориентируете нас по цене на данный момент?
Заранее спасибо!
Помогите, пожалуйста, советом.
Сейчас дочке 1 год и 4 месяца. В годик она сколола второй левый резец, а потом отколола от него эмаль по центру и полностью с внутренней стороны. Мы сходили к платному стоматологу и нам сказали, что молочные зубы не лечат и они могут только посеребрить. Мы согласились. Так же нам посеребрили второй резец справа и на нем оказались 3 дырочки по центру, а так же все 4ре с внутренней стороны. Теперь кариес(это ведь он?) добрался до центральных зубов, плюс на правом скол. Несколько дней назад мы снова туда ходили, и нам тоже предложили только серебрение, сославшись на возраст. Мы снова согласились, но теперь мучают сомнения. Читая Ваш блог, я понимаю, что маленьким детям тоже лечат зубки. Отсюда вопросы:
1. Скажите в нашем случае нам срочно нужно лечить или можно подождать и понаблюдать. И если ждать, то чем это может закончится?
2. Резец на котором нет эмали и который посеребрили может беспокоить дочку? Болеть или доставлять дискомфорт?
3. Мы находимся на грудном вскармливании и сейчас режутся клыки, поэтому кроме груди сейчас практически никакую еду не хотим. Висим и днем и ночью. Влияет ли это на распространение кариеса? Мы с года чистим зубки Лакалютом, но он похоже не помогает. Можно ли как то обезопасить зубы в ночное время при кормлении.
4. Если лечить зубки, то сориентируете нас по цене на данный момент?

Заранее спасибо!Алина Русикова
Здравствуйте.Отвечаю по пунктам.1. Лечить нужно срочно, т.к. наблюдение и ожидание приведут к отму, что зубы будут такими, как Ваша левая двоечка.Уже сейчас я на трех зубах подозреваю пульпит. Вторые резцы- точно!2.Все данные зубу могут у ребенка болеть. Не только резец без эмали.3. Это влияет на ухудшение состояния данных зубов. Притормозить развитие кариеса сможет только лечение. Т.к. дентальные салфетки уже не помощники.4. если лечить зубы,то стоит прибегнуть к использованию общего наркоза.По времени около 1,5 часов= 18 тысЛечение пульпита данного зуба- 5,5 тыс ( а у вас их теоретически 3)Лечение кариеса- 3,5 тыс
20.07.2013
Ответить