Начинается кариес?
Алина Владимировна, добрый день!
Спасибо Вам за Ваше сообщество, все время читаю, теперь снова к Вам за советом, если можно. Сначала хотела показать один зуб, который заметила только вчера, но по мере фотографирования узрели и другие (( Посмотрите, пожалуйста, фотографии.
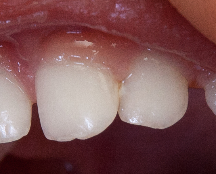
Наверное, больше всего волнует потемнение между первым зубом и вторым. Что-то похожее расположено симметрично (между другим центральным зубом и вторым, но на фото совсем не видно:может, только начинается).
Еще на одном фото видна белая полоска на клыке, как классический начинающий кариес. Я ее увидела после того, как увеличили фото, после этого почистили зуб, полоска стала меньше, но полностью не убралась, все равно виднеется.
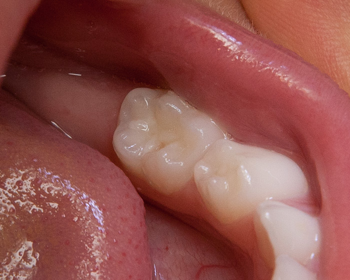
И наконец последнее, что удалось заметить - ямка на последнем 5-м зубе. Опять же почистив зубы, она стала менее заметной, Возможно, это не кариес,а гипоплазия эмали. Наверно, надо наблюдать. Но если Вам кажется, что надо ехать на прием с первым зубом или клыком, то, конечно, побегу записываться. Под катом несколько фото. Заранее спасибо!



