Гранулемы у взрослого. Как срочно лечить?
Здравствуйте, Алина!
Спасибо за то, что находите время консультировать здесь!
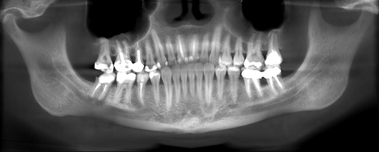
Если возможно, пожалуйста, посмотрите снимок. 
Проблема такая :Около полугода назад на десне появился свищ. Не разу поняла что это. Так как не болел и неприятных привкусов во рту не было.
Пошла к стоматологу, снимок показал приличную кисту нижней правой семёрки. Доктор предложил лечение на полгода: паста метапекс и временная пломба, всё это будет меняться раз в месяц. В первый месяц упала стена зуба, потом ещё часть. От начала лечения прошло 3 месяца.
Но остаток зуба решили сохранять.
В свете планирования второй беременности решила сделать КТ.
Доктор клиники,в которой сделали томографию сказал, что по КТ есть трещина корня проблемного зуба и зуб на удаление. И ещё есть 2 проблемных верхних зуба - кисты. Один из них - правая шестёрка под коронкой и там что-то похожее на обломки инструмента. Второй - левая семёрка. Всё это нужно перелечивать.
На днях была у лечащего доктора. Она даже не стала смотреть КТ.
Её вердикт - зуб сохранять, трещины она не находит. Ещё раз поменяла пасту в каналах
Верхние не трогать, если они не беспокоят. Так как лечены они давно и не факт, что получится пройти каналы.
Где истина?
Хочется по-возможности сохранить зубы. Можете подсказать в Липецке хорошего специалиста? Или в Воронеже (на крайний случай)? В нашем городе обзвонила массу клиник - практически никто с микроскопом не работает. Нашла всего пару докторов. Но как
теперь довериться кому-то?
Если сможете посмотерть КТ, добавлю. Сейчас не разобралась как это сделать.
Спасибо.