Лечение без общего наркоза
Алина, доброе утро!
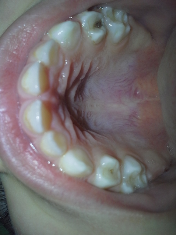
Помогите, пожалуйста, определиться с лечением зубов. Сыночку 3.5, налет на верхних резцах уже года 2, при ежедневной гигиене не усугубляется. Есть ли необходимость в лечении?


Заранее огромное спасибо за ответ!
Алина Русикова
Здравствуйте.Пока не вижу никакой надобности в общем наркозе. Можно попробовать и лечение с адаптацией.Вот только та полость, которая представлена на фото, уж очень сильно похоже на пульпит... Во всяком случае, даже если это кариес, лечить его без местной анестезии будет больно.И на пятом зубе, рядом с тем, в котором очевидный дефект, похоже, что тоже есть кариес(
18.10.2013
Ответить