Зубы мудрости
Здравствуйте!
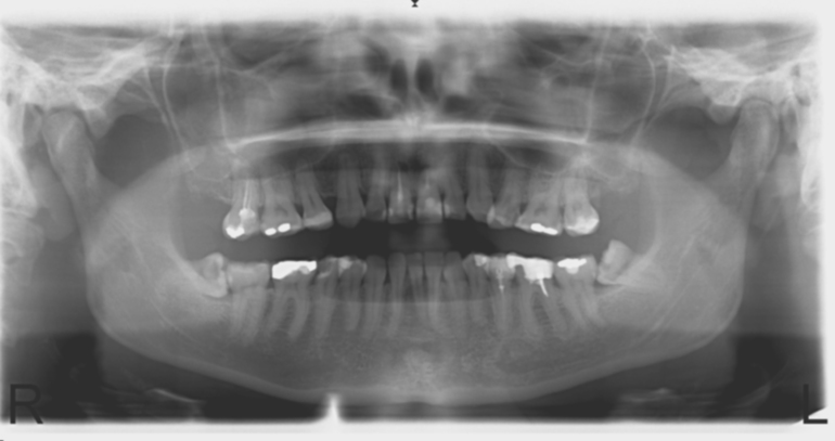
Нижние зубы мудрости растут перпендикулярно. Сделала ортопантомограмму, врач сказал случай сложный и не стоит их дергать пока не начнут болеть. Знакомая стоматолог (не практикующая уже), сказала, что такое только в стационаре удалять надо.
Вопросы:
1. Когда же все-таки стоить их вырывать
2. Можете ли посоветовать хорошую челюстно-лицевую клинику или хирурга.
Спсибо.
Вот снимок.

Алина Русикова
Здравствуйте!Удалить эти зубы ,действительно, нужно. Но, перед удалением, нужно сделать компьютерную томограмму (КТ). И с ней приехать на консультацию.Показаний к стационару нет. Просто удалять нужно будет по одному зубу.89255066177 Телефон клиники. Просите записать к Лушанину Михаилу Сергеевичу (хирург-имплантолог). Перед визитом сделайте КТ.
16.11.2013
Ответить