Темный зубик.
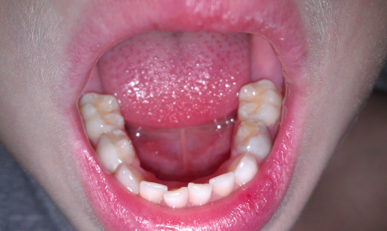
Добрый вечер! Залечили зубик (на фото 4-ка справа) месяца 2-3 назад и он как-то поменял цвет. Отдает серым оттенком. Что это? 
Ольга
Попробую сделать вечером,но зубик весь такой серо-прозрачный какой-то. Туда ставили временную пломбу с лекарством, а потом световую. Может не до конца вычистили кариес или не гермитично закрыто? Уже не волнуюсь за молочный зуб, переживаю за зачаток постоянного!!!
Как-то начинаю сомневаться в профпригодности врача...
20.12.2013
Ответить
Алина Русикова
Мне нужна щечная сторона для того, чтобы определить цвет зуба. Есть два варианта- наличие кариеса под пломбой. Или зуб окрасился из-за лекарства, которым лечили зуб.
20.12.2013
Ответить
Алина Русикова
Здравствуйте.А можно мне фото зуба с щечной стороны?На др.стороне 4ый зуб также необходимо лечить.
19.12.2013
Ответить