Айкон?
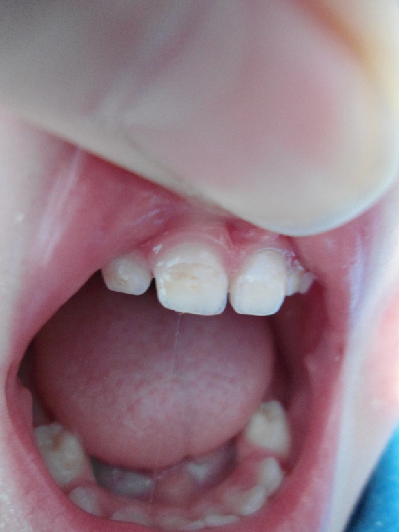
Здравствуйте, Алина! Нашему ребенку 1год и 10 мес. Примерно 2-3 месяца назад я заметила на зубках несчищаемый налет. Позже из Ваших постов узнала, что это кариес. К сожалению, живем мы на Дальнем Востоке в небольшом городе и все стоматологи отказываются что-то предпринимать, кроме серебрения (очень знакомая для всех ситуация). В 20-х числах февраля мы поедем к Москву к бабушке в гости на пару месяцев и хотели бы попасть к Вам на прием. Вопрос, собственно говоря, в следующем: поможет ли в нашей ситуации Айкон? И, пожалуйста, не могли ли Вы хотя бы в личку написать примерную стоимость лечения (очень нужно для нашего папы). Спасибо за внимание!

Светлана
Спасибо за ответ! Я посмотрела нижние зубы, мне кажется, что там ничего нет, просто свет так неудачно падает на фото. Но я, конечно, не профессионал, на приеме и посмотрим.
02.02.2014
Ответить
Алина Русикова
Здравствуйте.Не готова четко ответить, что поможет именно Айкон, но, как кажется по фото, все же больше поможет, чем нет)Стоимость лечения одного зуба Айконом 3.5 тыс руб.Вот только меня еще смущают четвертые нижние зубы...Внутри...Что-то уж очень похоже на кариес. Посмотрите, пожалуйста, внимательнее.
01.02.2014
Ответить