Набухла десна, с синевой. Ребенку 2 года 3 месяца.
Добрый день!
В пятницу вечером обнаружила у ребенка на врехней правой части десны припухлость(выглядит как шишка), напугало, то что было на месте между резцом и уже вылезшим коренным зубом. Шестерок у нас еще нет.
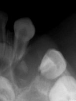
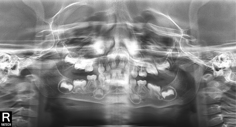
Сходили в субботу на прием в планую клинику, там нам сделали прицельный снимок. Сказали, что это лезет пятерка, а вылезший зуб - это следующий. (у нас такое уже было, что зубки прорезались не по порядку). Сказали, что ничего страшного нет, лечить это не нужно.Но зуб лезет не правильно, под углом, коронкой в щеку. Так же врача смутило, темное пятно между прорезающимся зубом и резцом. Отправила нас на панорамный снимок, после сказала, что они не информативны и нужно еще раз приехать, делать прицельные. на панорамных снимках картина примерно та же, (могу переслать если нужно). Только я белых точечек там не увидела. Только темное пятно.
На приеме говорила что то, что это может быть киста, или какие скопления закладки зубов, я не очень запомнила термины. Очень волнуюсь по этому поводу.
Подскажите, что это может быть? И насколько это опасно, нужно ли будет спец лечние - опарционное, или еще какое либо.
И вопрос про кривой зубик, если молочный вылез криво, то постоянный прорежется тоже не ровно? Или этого можно будет как-то избежать. И если будет зубик так криво расположен, можно будет это изменить с помощью брекетов, например, в последствии.
Заранее спасибо!


, прихожу с работы поздно, зубы чистить дает не всегда мне.. ). Что это может быть? Какие методы лечения? Очень переживаю. Вид десны пугает. Нужны ли какие-то срочные действия? Врач, которая нас осматривала, сказала, что срочные действия не нужны, мазать калгелем саму десну и вот снимок сделать. Покажет ли еще что-то прицельный снимок? Не хочется еще ребенка мучить зря, она давилась от пластинки, плакала. Если нужен на какую область обратить внимание? Еще вспомнила, что она как то месяц- полтора назад падала, и сильно стукнулась, примерно в той области, немножко была разбита губка изнутри. Вы беретесь за такае случаи? Если нет, подскажите нам врача!!! заранее огромное спасибо!



