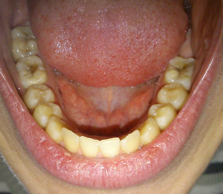
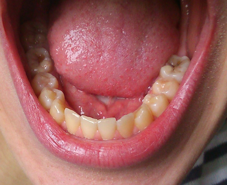
Кариес на нижних
Когда я еще была на 16-18 неделе беременности, врач нашла две маленькие дырочки (кариес) и сказала, что надо лечить. Я по боязни и глупости не пошла сразу и сейчас они так же не залечены... На сегодняшний день у меня 27 неделя беременности, скажите, можно ли сейчас лечить зубы или лучше сделать это после. И надо ли? А то может они все-таки маааленькие...фото под катом


Алина Русикова
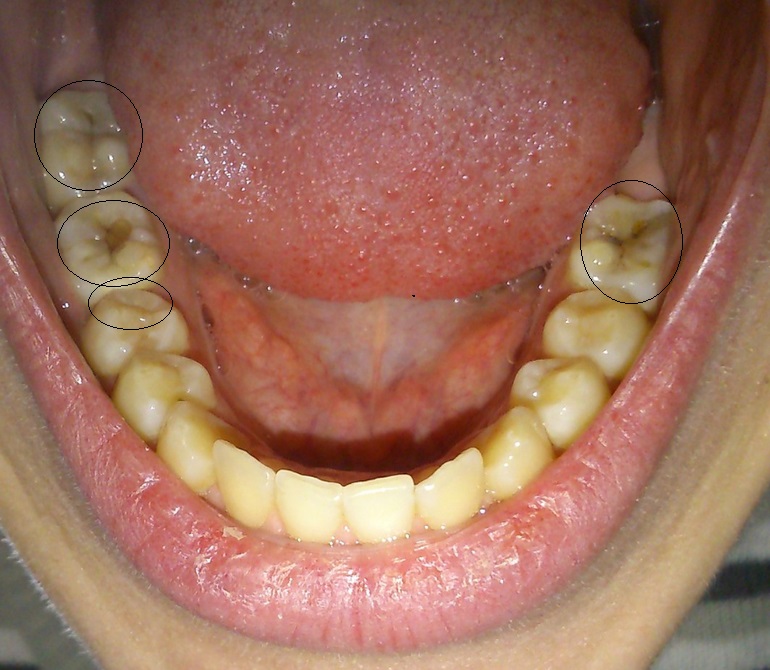
Здравствуйте.Ну сейчас-то лечить уже не стоит, а вот после родов- обязательно. Лично я, просто по фото, вижу уже 4 кариеса и они, увы, будут совсем не маленькие, когда их начнут лечить( 

05.03.2014
Ответить
фото под катом