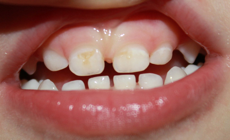
Бутылочный кариес.
Ребенку 2 года, сегодня были у стоматолога в городской поликлинике, из лечения нам назначили только нанесение курсом реминерализирующего геля Рокс. Хотелось бы услышать Ваше мнение, достаточно ли нанесения геля курсом в нашем случае? Судя по Вашей статье у нас уже не начальная стадия кариеса, а прогрессирующая...Заранее благодарна за ответ.




Алина Русикова
Здравствуйте.Нужно запломбировать и забыть про то, что был кариес) Гель РОКС, Тусс Мусс ситуацию не изменят... Хотя, нет. Испортят...
08.05.2014
Ответить