Что с зубками?
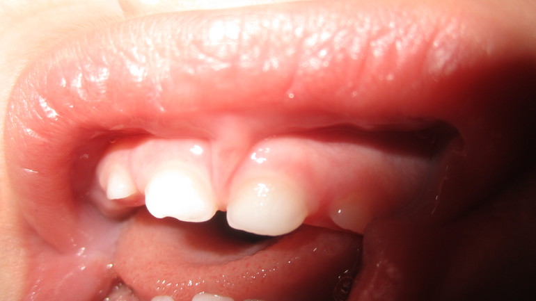
Здравствуйте,подскажите пожалуйста что происходит с нашими зубками и что нам делать в данной ситуации? Нам 1.2, у нас 8 зубов. Зубы чистим с первого зуба. в год стали чистить зубной щеткой и раз в день зубной пастой. Неделю назад заметила что верхние два центральных резца поменяли цвет, на краях зубов появились белые полосы. Иногда они есть, иногда их не видно. 



Пользуюсь гелем РОКС два раза в день. зубной пастой пока перестали пользоваться. Что это? может не хватает кальция?
Алина Русикова
Здравствуйте.Я ничего, кроме короткой уздечки и налета на зубах не вижу.Возможно, если ребенок дышит ртом, поверхность зуба пересыхает и , особенно после сна, Вы видите эти полосы.
24.05.2014
Ответить