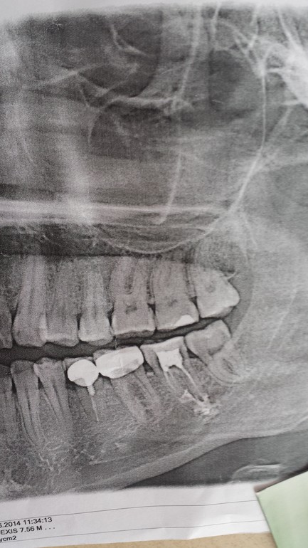
выход пломбировочного материала за верхушку корня
Здравствуйте!
Помогите пожалуйста советом. Мне пломбировали 2 недели
назад 6й зуб, каналы. Прикладываю снимок, на к-м виден выход
пломбировочного материала (со слов врача, эндометазон). После пломбирования не
проходят боли, 1ю неделю боли были по нарастающей очень сильные, пила Нимесил.
До пломбирования (когда работали с каналами) делали местную анестезию, после
которой осталось частичное онемение щеки. Хожу на физпроцедуры (электрофорез,
дарсонваль), боли стали слабее, однако не прошли, характер- постоянно ноющий. И
ощущение, что что-то мешает, хочется надавливать на зуб. Посоветуйте
пожалуйста, что делать. Впервые столкнулась с осложнениями, которые существенно
снизили качество моей жизни, я в отчаянии. Заранее спасибо!