в Стоматология 11 лет

Запах из под коронки

Аноним
Здравствуйте, Алина. Очень жду вашего ответа, прокомментируйте пожалуйста.
13.11.2014
Аноним
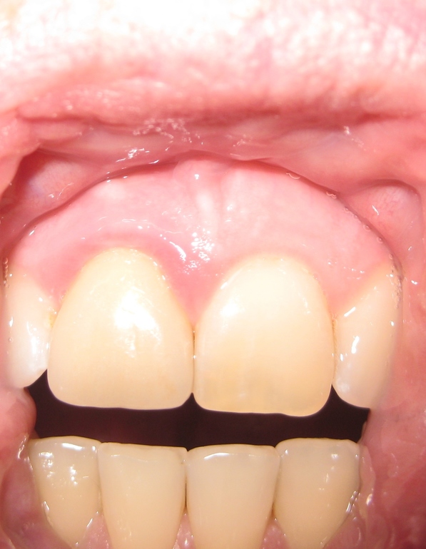
Добрый вечер, Алина. В пятницу купила ирригатор, неприятный запах исчез полностью, но краснота все равно остается. Сегодня была у другого стоматолога, он посоветовал заменить металлокерамическую коронку на коронку с каркасом из диоксида циркония. Сказал, что они лучшие на сегодняшний день и такой красноты не будет. Посоветуйте, стоит ли менять коронку и на какую???
09.11.2014
А снимок так и не делали? 
13.11.2014
Аноним
Делала, сказали все нормально, посоветовали поставить циркониевую коронку
13.11.2014
Аноним
4ad5935fe5476d1ea8054220dfa47206.jpg
09.11.2014
Аноним
49e75b42078e7080131eee4465a28fab.jpg
09.11.2014
Аноним
a50984f854481470a712fde11412383f.jpg
09.11.2014
Нужно сделать прицельный снимок, и посмотреть состояние корня. Возможно прав. Если приложите фото воспалённой десны, скажу точно.
08.11.2014
Аноним
Нет
08.11.2014
Здравствуйте.А доктор делал прицельный рентгеновский снимок?
08.11.2014
Воспаление десневого кармана Кариес