Лечение передних зубок у ребенка 3х лет.
Добрый день, Алина Владимировна. Уже не раз с Вами консультировалась и благодаря вам много ошибок не сделала, за это сразу спасибо) Итак, наша ситуация:
Дочка, в январе 3 года, кариес начался в 1,5 года, все врачи говорили что это просто налет, когда уже стало понятно что есть проблемы никто не хотел брать, предлагали наркоз, на него мы так и не решились. Полтора года практически мы находились в поиске своего врача и вот нашли - вчера один жевательный вылечили с уколом и еще два осталось, будем постепенно их лечить. Дочка рот открывает спокойно и лечение терпит не вырывается и не плачет)
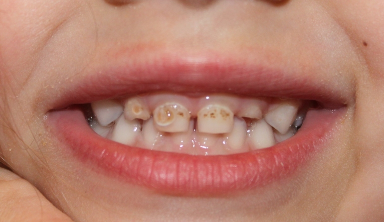
Но вот с передними вопросы остались, доктор их лечить не берется, говорит что нет смысла. Предложила фторировать - я отказалась. У нас на данный момент двоечки крошатся, одна почти до десны уже скрошилась, вторая наполовину. На единичках на одной немного темные пятна, а вот на второй дырочка как на фото ниже (фото не наше, нашла здесь). Изнутри эмаль темная.

Теперь вопросы - передние зубы в такой стадии можно без наркоза попробовать вылечить? Или ждать пока выпадут и надеяться что не заболят до того времени. Двоечка, которая скрошилась до самой десны - не будет ли потом с ней проблем, когда придет время выпадать - она сама выпадет или придется удалять? И про фторирование - здоровые зубы можно сейчас фторировать или лучше не делать, боюсь навредить, вдруг их плохо почистят или еще что.
И еще есть вариант в соседний город съездить в клинику, где предлагают седацию, но что-то у меня на этот счет тоже сомнения. Как вы к такому способу обезболивания относитесь?
обрезала покрупнее, и увидела на клыке белое пятно, так его не заметно, его есть смысл фторлаком покрыть?
вот сегодняшнее фото