Плохие зубки рождения(
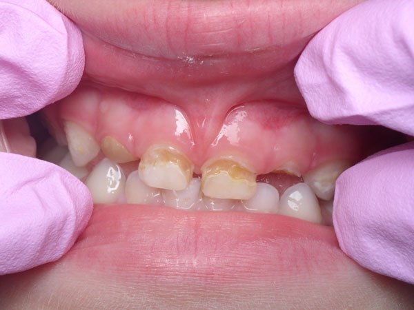
Скажите,чем можно помочь ребенку сохранить зубки до того времени когда будут расти коренные?у нас кариес передних зубов, один уже совсем раскрошился, неужели только серебрение и больше нет ничего?просто так не хочется чтобы ребенок ходил с черными зубами((( и еще расскажите как эта процедура делается, боюсь что с открытым ртов мой ребенок просто не усидит((((
Леся(Мама двух зайчиков)
вот тоже самое что и у нас...даже зуб там же раскрошился
вот тоже самое что и у нас...даже зуб там же раскрошился
22.12.2014
Ответить
Леся(Мама двух зайчиков)
как? только наркоз? общий? то есть ребенок будет спать?
это реально вылечить?разве наркоз хорошо влияет на детский организм, а вдруг какие то последствия?больше ничем нельзя помочь, не хочу чтобы ребенок под наркозом лежал(
это реально вылечить?разве наркоз хорошо влияет на детский организм, а вдруг какие то последствия?больше ничем нельзя помочь, не хочу чтобы ребенок под наркозом лежал(
25.12.2014
Ответить
Леся(Мама двух зайчиков)
фото приложу обязательно.Знаете, видела у вас в дневнике пост под названием-Я такое в первый раз увидела.Я боюсь того же.Что нам делать в дальнейшем.Ведь один зуб у нас почти так же раскрошился, когда придет время расти новым зубам, что будет с этим, вдруг не выпадет(((((
22.12.2014
Ответить
Алина Русикова
Здравствуйте.Добавьте, пожалуйста, фото.Но сразу могу сказать, что серебрение- каменный век! Это методика не помогает и не лечит! Мы ведь с Вами ведем речь не только о красоте зубов...Ведь молочные зубы также болят, как и постоянные! Только о лечение зубов и о необходимости их лечить принимает решение не сам ребенок, а его родители.
19.12.2014
Ответить