Зубы меняют цвет
Здравствуйте, мне 25 лет( ребенку 1,9 г, на ГВ)
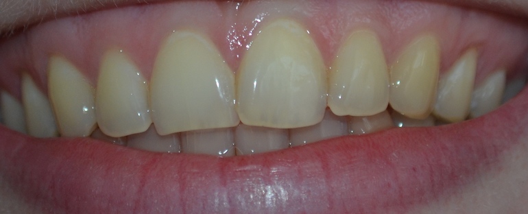
Месяца 3-4 назад, заметила что на верхних передних зубах около десны налет, который не очищается при чистке зубов, ходила на консультацию к стоматологу - сказала купить пасту от зубного камня. Сейчас налет действительно исчез , но заметила что зубы в этих местах( где был налет) поменял цвет - стал БЕЛЕЕ, чем остальная поверхность зубов.
Объясните пожалуйста : в чем причина, какие последствия и что предпринять?
СПАСИБО!!!