Проблемы с зубками
Алина, здравствуйте !
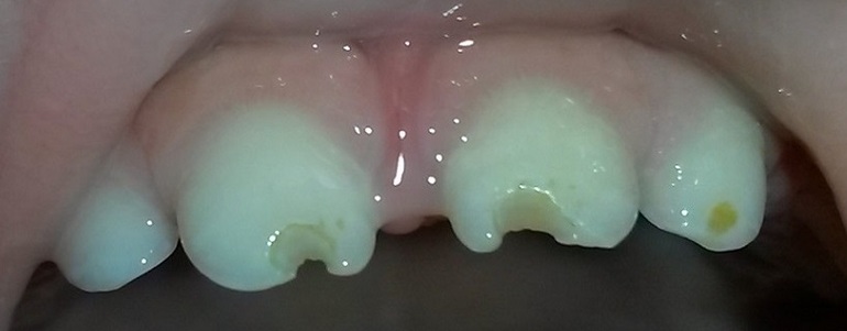
Подскажите, пожалуйста, что у нас с зубками и какое лечение возможно провести в нашей ситуации. Ребенку 1год 9мес. Заранее большое спасибо !
Ирина
На средних резцах с внутренней стороны изменений не обнаружила, а на боковом резце с внутренней стороны у основания зуба два малюсеньких белых пятнышка (я так понимаю это кариес в стадии пятна)
26.02.2015
Ответить
Алина Русикова
Теоретически, возможно лечение без использования общего наркоза, но необходимо быть готовым к обильным слезам.
01.03.2015
Ответить
Ирина
Алина, подскажите, а в нашем случае возможна постановка пломбы без общего наркоза ? И насколько я понимаю ни серебрение, ни фторирование процесс не замедлят, чтоб хотя бы продержаться до более позднего возраста и уже потом пломбировать ?
16.02.2015
Ответить