Белые пятна на зубах
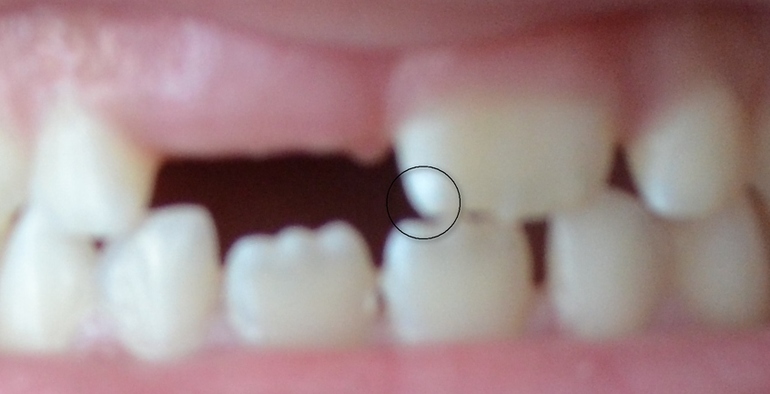
Добрый день, Алина Владимировна, у моего сына недавно вылез коренной зуб и на нём сразу появилось белое пятно. Неужели это кариес? Что нам сейчас делать? На фото плохо видно, фотоаппарат вблизи плохо фотографирует. Ему через месяц 7 лет и мы ни разу не лечили молочные зубы, так как на них нет кариеса. А тут коренной и вот... Как же так?