20 неделя беременности, депульпация, острая боль
Добрый день, доктор!
Очень ищу помощи по взрослому рту.
У меня 20 недель, ЭКО.
Перед началом протокола (сентябрь 2014) сходила к стоматологу, который сказал, что все прекрасно, почистил налет и отпустил в протокол.
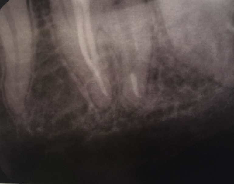
5 февраля левая нижняя семерка: отламывается верх зуба, под ним оказывается дыра, уходящая в шею (доктора считают что этот кариес развивался несколько лет) ЗУБ НЕ БОЛИТ
6 февраля кладем лекарство, зуб болит во время вмешательства, 7 раз подкалываем анастезию, работаем без снимков.
10 февраля депульпация трех каналов. Два абсолютно не чувствую, третий очень больно. При обработке средством острая боль, при пломбировке звезды из глаз. Временная пломба. 11 февраля зуб начинает болеть, к ночи пульсирует не дает уснуть, в 5 утра принимаю парацетомол, сплю час, еду к доктору.
12 февраля готовим под вкладку, я сообщаю про боль, которая не дает спать, доктор говорит, что это возможно, что подождем неделю пока зуб успокоится и после этого будем ставить коронку.
ИТОГ: сегодня 16 февраля. Зуб 5 суток болит сильно и постоянно. Боль не проходит ни днем ни ночью, усиливается, парацетамол раньше снимал боль на час-полтора, теперь практически даже не облегчает боль.
Ночью не выдержала, нашла радиовизиограф, сделала снимок, который прилагаю.
Прошу помощи, так как лечу зубы у этого доктора первый раз и не по рекомендациям. Коронка будет готова в пятницу, а я думаю исключительно о том, как бы этот зуб удалить.

