Как лечить?
Алина, здравствуйте!
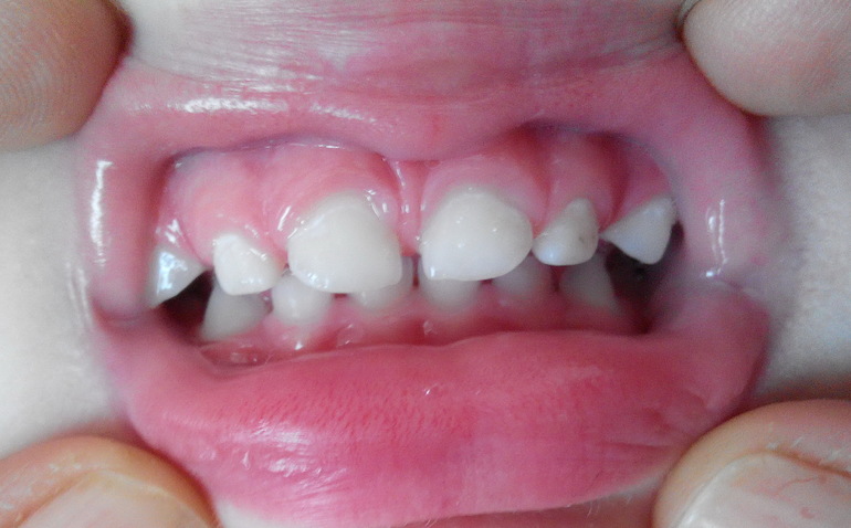
Дочке 2 года. На передних зубах белые пятна у десны, на левой двоечке темные точки (с обратной стороны тоже темное пятнышко). Стоматолог подтвердил кариес, но настаивает на том, что передние зубы не лечатся. Предлагает продолжать гигиену или ждать ухудшения и удалять. Мне такая тактика, естественно, не нравится. Собственно вопросы:
что делать с зубками, где белые пятна?
насколько серьезное состояние у двоечки и как ее лечить?
прикус - похоже что глубокий? когда начинать коррекцию?
И не посоветуете, куда обратиться в СПб? Уже во второй клинике нам говорят, что такие зубы не лечат((
Спасибо.
TashaG
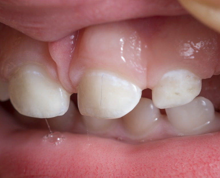
Большое спасибо за такой развернутый и обнадеживающий ответ))Насчет хлоргексидина — сколько раз в день? после чистки?вот фото поближе, макросъемкой совсем страшно выглядит..
13.04.2015
Ответить
Алина Русикова
Эх... Не ошиблась я со вторым зубом( Вот ему требуется пломбирование. Или же максимально динамическое наблюдение, а позже, скорее всего, все равно пломбирование.Что значит динамическое наблюдение- вот такое фото раз в 2 нед. И сравнивать с данной фотографией. Если будете видеть ухудшения- сразу к стоматологу на лечение, если нет- продолжайте фанатично ухаживать.И со стоматологом все равно нужно будет подружиться,т.к. лечение может потребоваться, но ребенок уже будет к этому готов.Хлоргексидином лучше обрабатывать зубы перед сном, после основной чистки. И после полоскания НИЧЕГО не есть!
18.04.2015
Ответить
TashaG
Спасибо, Алина! Я насчет второго так и думала.. Будем наблюдать и искать стоматолога, дочка контактная, осматривать дается без проблем, надеюсь и полечить даст.
18.04.2015
Ответить
Алина Русикова
Здравствуйте.И я не вижу ничего такого, что Вы сейчас не сможете сделать для своего ребенка самостоятельно.Изменения есть, но это только начальная форма, которую можно продержать статичной при правильном уходе.Что важно и необходимо делать дома:1. качественная гигиена ( зубная щетка Орал Б от 4 до 24 мес)2. использование дентальных салфеток ( Асепта)3. использование геля Тусс Мусс, если у ребенка нет аллергии на казеин.4. полоскать/орошать/смазывать ( в общем, что подойдет, но это ооочень важно!) зуб раствором хлоргексидина. Хлоргексидин уничтожает стрептококк, который является одной из причин кариеса.5. нормализовать питание ребенка, чтобы отсутствовали ооочень частые перекусы.6. Отказаться от ночного вскармливания, если таковое есть.И пришлите, пожалуйста, фото второго резца поближе и с его стороны. У меня по нему есть сомнения.
13.04.2015
Ответить