Можно ли спасти зубы?
Алина, здравствуйте!
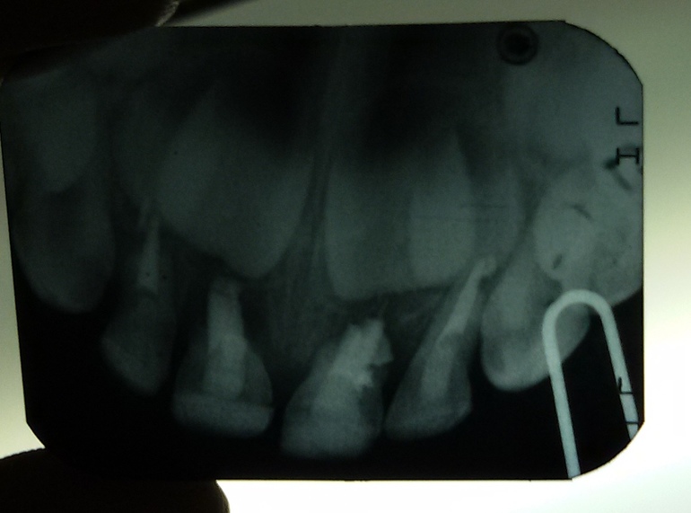
Скажите, пожалуйста, можно ли спасти зубки дочке. Ей 3 года, около 1,5 лет назад мы лечили пульпиты на передних зубах, а недавно стукнулись ими. И вроде бы не сильно, но зубки, верхние единички, начали шататься. Сейчас над одним появился свищ, как сказал стоматолог, к которому ходили. Сделали снимок, прилагается, нам сказали, что удалять оба надо. Но нам очень не хочется, тогда не удалили и сейчас не хотим. Скажите, есть какая-нибудь возможность сохранить, может лечение? Очень хочется спасти. 
Мария
Спасибо за ответ! А второй тоже надо удалять? Скажите, а вместо этих зубов можно поставить какие-нибудь коронки имитирующие зубы? Или только хранители места?
16.04.2015
Ответить
Алина Русикова
Вторые удалять пока не надо, у них еще довольно длинные корни, но тоже уже начали рассасываться.Никаких ортодонтических вмешательств не требуется.
16.04.2015
Ответить
Алина Русикова
Здравствуйте.Я соглашусь с Вашим стоматологом о том, что зуб нужно удалять. Зубы держатся в кости практически одним материалом, которым пломбировали каналы. Корень рассосался ( это физиологическое действие), пломбировочный материал рассасывается тоже.Можно было бы расшатывать самим, все равно Вы сможете лишиться зубов и дома, если бы не наличие свища, что диктует чуть скорую эвакуацию зубов.Не переживайте) Организм сам так решил. Корни-то зубов рассосались)
16.04.2015
Ответить