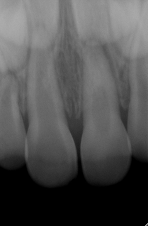
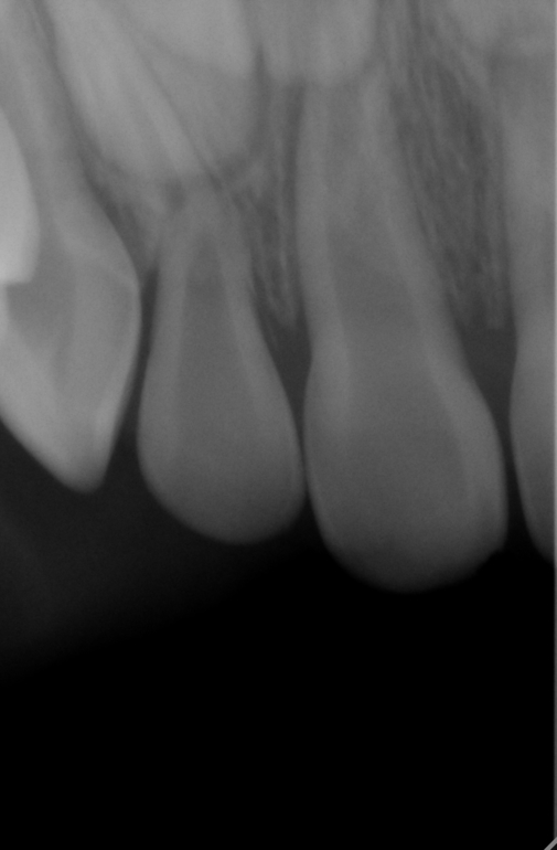
Ребенок упал и ударился передними верхними зубами о железную ограду
Здравствуйте!Подскажите пожалуйста что делать?Ребенок упал 6 марта этого года и дарился о железную ограду,было много крови и подвижность зубов.Также верхняя губа вздулась и и стала в 3 раза больше чем нижняя, сильная гематома.При походе к нашему врачу сказали,что пока мазать гепариновой мазью,но через два дня верхнюю губу пришлось вскрыть и наложить дренаж,т.к.было сильное уплотнение.По истечении 1,5 недель я увидела что два передних центральных зуба приобрели более серый оттенок по сравнению с другими, преимущественно в верхней части,где десна.Врач сказал что нужно удалять пульпу с нервами и что зуб уже не восстановится.Примечательно еще то что у нас ровно год назад тоже была травма,также припухла губа,но не было гематомы и зуб пострадал верхний левый центральный, который через две недели посерел и тоже говорили,что он таким и останется по цвету, но через полтора месяца он восстановился и по цвету не отличается от других зубов.Вчера 27 марта мы были у другого стоматолога и без снимком, а просто осмотрев зубы (т.к. снимки у нас в электронном виде на почте) он сказал, что правый центральный верхний зуб нужно полностью удалять,т.к. он уже и мертвый,между губой и десной образовался свищ и удалять просто нерв, а сам зуб оставить черевато может быть тем,что инфекция может остаться в корне зуба и и повлиять на коренной зуб.А если удалить полностью, то мы исключим это.Могу прикрепить снимки,которые были сделаны в тот же день,6 марта,после удара.Что вы можете сказать,очень важно ваше мнение тоже?Заранее огромное спасибо!
