Менять пломбу или сразу удалять нерв
Здравствуйте, Алина Владимировна!
Помогите, пожалуйста, определиться с дальнейшей тактикой лечения. Нижняя левая шестерка. Два месяца назад откололся небольшой кусок, поменяли старую пломбу. Потом периодически возникала несильная ноющая боль после твердой пищи, но проходила в течение суток. Оказалась завышена пломба, врач лишнее сточила, промыла карман. После этого появилась практически постоянная ноющая боль (не зависимо от чего-то), чувствительность на холодное, практически не жую на этой стороне. Врач сделала снимок, по ее словам пульпа достаточно далеко от пломбы, зуб в порядке, но глубокий карман. Карман лечили в течении двух недель (йодоформными турундами). По словам врача теперь кармана нет. Но боль продолжается. Собственно, что делать дальше???
- менять пломбу?
- сразу удалить нерв?
- оставить в покое на какое-то время?
- может курс антибиотиков помочь?
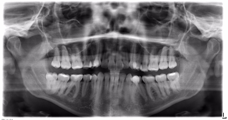
UPD: рентген (прицельный может переделать? на всякий случай панорамный)
может быть поможет вариант поменять пломбу с лечебной и изолирующей прокладкой? Пока динамика положительная, ноет редко и слабо, на холодное все также реагирует, могу немного жевать мягкую пищу. Может быть важный нюанс, между 6 и 7 застряет еда и даже щеткой редко вычищается.
Спасибо еще раз за консультацию!

