гипоплазия эмали постоянных зубов? (фото под катом)
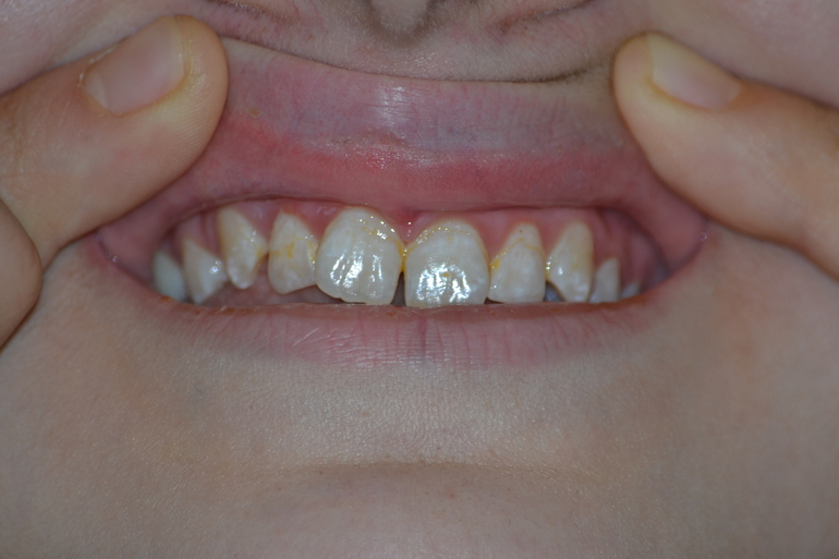
Здравствуйте! У дочери 13 лет по словам местного доктора гипоплазия эмали, зубы постоянные. Я в ужасе, проблем с зубами не было, молочные были отличные, и коренные тоже по мере роста. Гигиена рта хорошая. Проходим каждый год диспансеризацию, все было нормально. Ребенок уже большой, каждый день в рот не заглядывала, и жалоб не было. А тут вот такое обнаружилось. Насколько давно-не знаю, максимум год наверное, учитывая прошлогодний врачебный осмотр. Доктор сказал-не лечится. А мы брекеты хотели ставить, категорически запретил, сказал эмаль вообще может разрушиться. Подскажите, какие есть варианты лечения или исправления эстетического вида зубов. Желтый налет-это что. Может чистку сделать ей можно? Какими пастами пользоваться, может есть специальные? Буду признательна за ответ. Очень
переживаю(((
