в Стоматология 10 лет

Что делать?

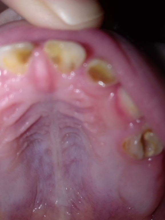
Здравствуйте. Необходимо лечение с использованием Севорана, т.к. зубы повреждены достаточно глубоко. И четвертый зуб тоже. После санации стоит посетить ортодонта, т.к. у ребенка формируется глубокий прикус.
20.03.2016
Кариес или флюороз? Подскажите пожалуйста это кариес?