Деформированное плодное яйцо и коричневые выделения
УЗИ, КТГ, доплерЗдравствуйте может у кого-то было
у меня больше недели коричневые выделения вчера была на узи сказали деформированное ПЯ
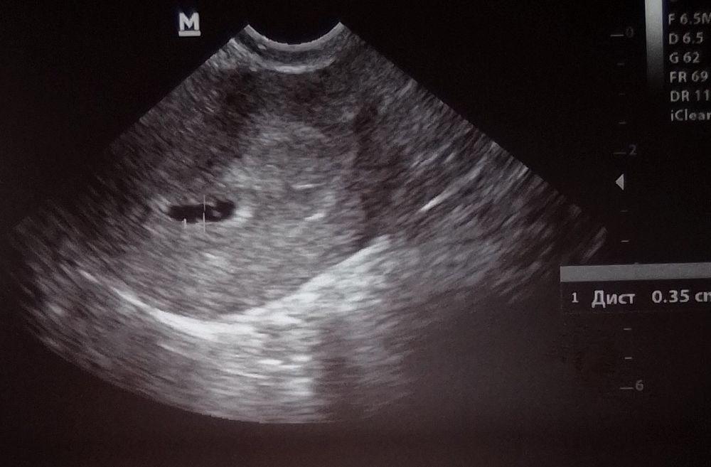
СРОК 5 недель 5 дней
анализы узи
Плодное яйцо D 27x5MM
желточный мешокчек 5.1ММ
Эмбриона не видно
говорят может зб
но сильно тошнит голову не могу понять лежу
назначили Дюфастон тронексам и повторное узи через неделю
Алюня
У меня на пяти неделях ставили замершую беременность!
Была мазня 3 дня, узист не увидел сердцебиение! Да ещё сказала что яйцо намного больше срока, что скорей всего замер!
Через неделю положили в больницу, там сделали повторно узи, но правда очень долго искала эмбрион, и все нашли и сердцебиение и эмбрион!
Хорошо что там не стали делать поспешных выводов, и они ориентировалась на мой прирост хгч!
Узист даже призналась мне , что думала что там пусто, пока искала!
26.05.2024
Ответить
Saint Barbie
Было, сначала мазня, потом кровь. Через неделю все нашли)) на таком маленьком сроке это может быть имплантационное кровотечение.
При этом делали узи 2 раза в разных местах в один день, все заключения разные.🤦 Про зб точно рано говорить.
26.05.2024
Ответить
Saint Barbie
Хадижа, ну тоже около того, сначала желтые, потом все коричневые и в итоге кровь, испугалась я знатно. Потом уже прочитала, что такое очень часто бывает. До 7 недели должно появиться сердцебиение))
26.05.2024
Ответить
zolotaya
Сделайте узи через неделю , может появиться 🙏🏻. И хгч в динамике . В моей печальной истории на 7 неделях никого не было видно .
26.05.2024
Ответить
Альтия
К сожалению, у меня негативный опыт с деформированным яйцом. Даже несмотря на отсутствие выделений и наличие эмбриона.
26.05.2024
Ответить
Буду мамой дочки
Странный врач который так определяет зб 🤦🏼♀️ а то что деформировано, у меня так было, потом все выровнялось
26.05.2024
Ответить