Когда идти на узи ?

Лучший ответ

У меня было 7 недель ровно, было сердцебиение уже у малыша, размера пя не помню. К врачу пошла с результатами сразу, но на учёт сказали приходить становиться с 9-10 недель. Может Вас сразу с узи результатом и поставят на узи, это меня мурыжили и не говорили, что пить из витаминов, догадайся мол сама. Пила элевит пронаталь первый триместр, на 13 неделе на скрининг ездила, всё хорошо.
23.05.2025
В 6 недель уже по идее сердцебиение должно быть. Я в 7.1 ходила проверять сб.
23.05.2025
Леся, я не знаю какой у меня точно срок … последние месячные 31 марта начались, цикл у меня 30-31 день , далее задержка. 3 мая тест отрицательный (уже в задержку) , 15 мая тест положительный и хгч 80 … врачи толком ничего не говорят , ставят срок пока по месячным а это на данный момент почти 8 недель ! Но такого не может быть. Сказали будут по ктр срок считать
23.05.2025
Комментарий удален
23.05.2025
Екатерина , если цикл стандартный то да.
23.05.2025
Viktoria, да я уже дочитала , сначала подумала на конец апреля) ну дней через 10 я бы пошла посмотреть чего там
23.05.2025
Я бы на вашем месте дошла до гинеколога просто узнать ответ на этот вопрос. Потому что для почти 8 недель пя действительно небольшое. Но я не врач
23.05.2025
Леся, я в больнице лежала где мне отслеживали хгч и делали узи раз в два дня для исключения внематочной … зачем мне сейчас пытаться доказать что это что то не нормальное когда бывают такие ситуации с поздней овуляцией или нестандартным циклом ? у меня плодное яйцо нашли три дня назад и в этот день хгч был 1800, а до этого каждые два дня он удваивался и нормально рос. Потому что у меня срок по факту не 8 недель и овуляция у меня была не на 14 дц как у большинства женщин а гораздо позже. И после появления эмбриона срок будут считать по ктр а не по последним месячным
23.05.2025
Viktoria, ну тогда недели 2 подождите и идите на УЗИ. У меня сб проверяли через 2,5 недели после положительного теста и хгч 1300.
23.05.2025
Viktoria, сходите дней через 10
23.05.2025
Я делала в 4.6 плодное было 4.1мм Записалась через 9 дней Надеюсь будет уже все Жм есть у вас ?
23.05.2025
Марии , вроде нет жм , а должен быть ?
23.05.2025
Viktoria, у меня 1,5 мм был Изображение
23.05.2025
Марии , блин , теперь переживаю ((
23.05.2025
Viktoria, ой нет не переживайте У всех по разному и может узист не обратил на это внимание у меня просто была анэмбриония и не было жм и эмбриона до 8 недель Поэтому мы обращали сильнее внимание У вас там тоже не пустое плодное
23.05.2025
Марии , я надеюсь 🙏 может аппарат у них еще хреновенький ибо делалось узи в государственной больнице когда привезли с подозрением на внематочную 😲 а теперь еще и задумалась о том что плодное яйцо странной формы …
23.05.2025
Viktoria, а от аппарата много зависит я делала в платной к них новый 5д Да и смотрят они в гос тяп ляп
23.05.2025
Марии , спасибо ! Отношение там тоже тяп ляп было ….
23.05.2025
Viktoria, вот вот) Поэтому сходите потом в платную на норм аппарат и всё там будет иначе
23.05.2025
Viktoria, я когда анэмбриония была плодное искала где 3 клиники обошла никто ничего не видел и даже миому мою 😃поэтому тут дело такое А лишний раз нервничать нет смысла Главное что в матке ) А вы по скорой попали у вас что то не так было ?
23.05.2025
Марии , да , у меня мазня коричневая была (( по итогу оказалось все хорошо , посадили на дюфастон … больше не мажет ничего
23.05.2025
Viktoria, в общем главное не нервничать ) Платом пишите как сходили на узи 🙏по месячным какой срок ?
23.05.2025
Viktoria, ну я видела у девочек разные плодные на фото Вроде у вас норм
23.05.2025
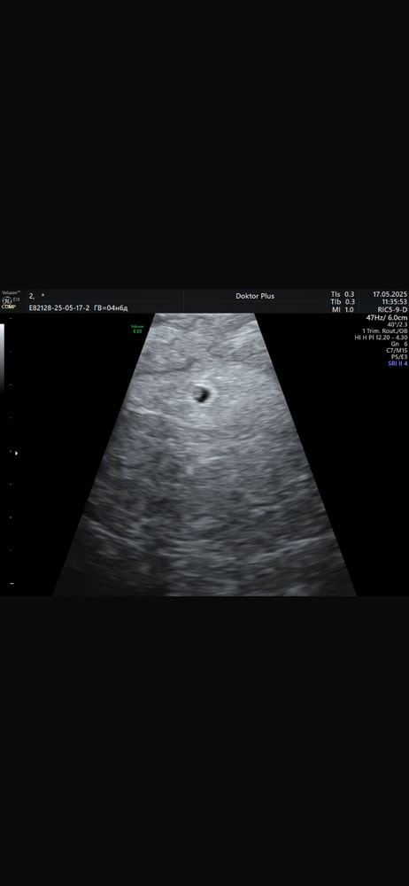
Марии , там внутри будто бы что то есть , но врач ничего не сказала … Изображение
23.05.2025
Viktoria, ну да что то есть Ещё бы понимать что и к чему 😅
23.05.2025
Не видно эмбриона Ктг на 23 недели